Dentista Especialista em Restauração com resinas de qualidade superior para um resultado duradouro

Utilização do laser para auxiliar na desinfecção do tratamento de cáries

Uma clínica moderna e bem equipada para os tratamentos mais complexos

Na nossa clínica, você conta com um dentista especializado em restauração dentária, preparado para devolver a saúde, a função e a estética do seu sorriso com precisão e cuidado. Utilizamos materiais de alta qualidade e tecnologia avançada, garantindo procedimentos confortáveis, duradouros e com acabamento natural. Se procura um tratamento realizado com expertise e atenção aos detalhes, aqui você encontra a combinação ideal entre técnica e compromisso com o bem-estar do paciente. Confie em quem entende de restauração dentária e recupere a segurança para mastigar e sorrir com confiança.

Uma clínica moderna e bem equipada para os tratamentos mais complexos

Na nossa clínica, você conta com um dentista especializado em restauração dentária, preparado para devolver a saúde, a função e a estética do seu sorriso com precisão e cuidado. Utilizamos materiais de alta qualidade e tecnologia avançada, garantindo procedimentos confortáveis, duradouros e com acabamento natural. Se procura um tratamento realizado com expertise e atenção aos detalhes, aqui você encontra a combinação ideal entre técnica e compromisso com o bem-estar do paciente. Confie em quem entende de restauração dentária e recupere a segurança para mastigar e sorrir com confiança.

Principais Tratamentos

Vamos acompanhar o seu tratamento até que o resultado seja atingido

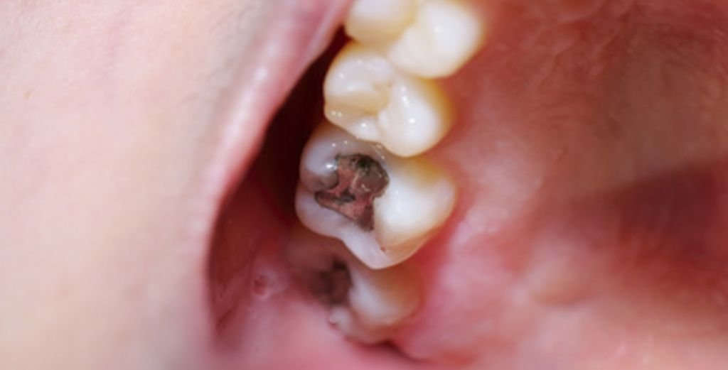
Remoção de Cáries
Limpeza profunda dos dentes com remoção do biofilme
Facetas em Resina
Casos avançados podem requerer antibióticos ou cirurgia.
Remoção de restaurações antigas
Laser de alta potência para uma cirurgia rápida e segura.

Profissional com experiência em casos complexos

Técnicas modernas e resinas de qualidade

Resinas dentárias: qualidade, estética e durabilidade variam mais do que você imagina

Marcas de renome mundial para resultados superiores em restaurações

Na Flori Odontologia, acreditamos que cada detalhe faz diferença no resultado da sua restauração dentária. Por isso, utilizamos apenas materiais de referência, como resinas da 3M, Ivoclar e Tokuyama, além dos renomados adesivos da Kuraray, marcas reconhecidas mundialmente pela alta qualidade, estética e durabilidade.

Assim como a escolha da resina e dos selantes é fundamental, a técnica e a experiência do profissional também são determinantes para garantir um acabamento natural, resistência no longo prazo e a preservação da saúde bucal.

Nosso compromisso é unir tecnologia de ponta com a habilidade clínica, proporcionando restaurações que não apenas devolvem a função do dente, mas também valorizam a beleza do seu sorriso.

Depoimentos

O que os Pacientes comentam sobre o nosso atendimento

Tire todas as suas dúvidas!

Procura por um dentista especialista que faz restauração de dente? Na Flori Odontologia contamos com um profissional especializado em restauração.

A restauração dentária, popularmente conhecida como “obturação”, é um procedimento odontológico que visa reconstruir um dente que foi danificado por cárie, fratura ou desgaste. O dentista remove a parte comprometida do dente, limpa a área e preenche a cavidade com um material restaurador (como resina composta ou amálgama) para restaurar sua forma, função e estética.

A duração de uma restauração de resina (a mais comum e estética, da cor do dente) varia entre 5 a 10 anos. Sua longevidade depende de vários fatores, como a técnica do dentista, a localização e tamanho da restauração, os hábitos de higiene bucal do paciente (escovação e uso de fio dental) e hábitos alimentares (evitar alimentos muito duros ou açucarados).

O procedimento em si não deve doer, pois é realizado sob anestesia local. O paciente pode sentir apenas a picada da agulha da anestesia e uma pressão durante a manipulação do dente. Após o efeito da anestesia passar, é comum sentir uma sensibilidade leve no dente e na gengiva ao redor por um ou dois dias, que normalmente cede com analgésicos comuns.

São procedimentos completamente diferentes. A restauração trata da parte externa e coronária do dente, reparando cáries ou fraturas menores. Já o tratamento de canal (endodontia) é necessário quando a cárie ou o trauma atinge a polpa do dente (o “nervo”), que fica internamente. O canal remove esse tecido infectado ou inflamado de dentro das raízes do dente, sendo um procedimento mais complexo. Muitas vezes, após um canal, o dente precisa de uma restauração ou até de uma coroa (protética).

O valor varia muito dependendo do material usado, do tamanho da restauração, da localização do dente e da região/clínica do Brasil.

Em São Paulo os preços podem em média variar de R$ 200,00 a R$ 800,00 por dente para restaurações de resina.

Infiltração é quando ocorre uma micro-fissura ou espaço entre a restauração e o dente, permitindo a entrada de bactérias e saliva. Isso pode levar ao desenvolvimento de uma nova cárie embaixo da restauração antiga. É uma das principais causas para se trocar uma restauração. Sinais comuns são escurecimento na margem da restauração e sensibilidade.

Os principais materiais são:

  • Resina Composta: Mais usada por ser estética (da cor do dente). Ideal para dentes frontais e restaurações menores.

  • Amálgama (Prata): Material muito resistente e durável, porém de cor metálica (não estético). Seu uso tem diminuído muito.

  • Ionômero de Vidro: Libera flúor, sendo bom para certos casos em crianças ou em áreas de menor pressão mastigatória.

  • Cerâmica/Porcelana: Usada para restaurações indiretas (inlays e onlays), feitas em laboratório. São muito resistentes e estéticas.

Um procedimento de restauração simples leva em média de 20 a 40 minutos por dente. O tempo pode variar dependendo da complexidade do caso, tamanho da cárie, e do material utilizado. Restaurações maiores ou que exigem isolamento absoluto (com dique de borracha) podem levar um pouco mais de tempo.

Os principais cuidados são:

  • Alimentação: Evitar comer enquanto a anestesia não passar completamente para não morder a bochecha ou a língua.

  • Sensibilidade: É normal ter sensibilidade ao frio/calor e à mastigação por alguns dias.

  • Higiene: Escovar os dentes e usar fio dental normalmente, tomando cuidado na região restaurada nos primeiros dias.

  • Alimentos: Evitar alimentos muito duros ou pegajosos nas primeiras 24 horas, principalmente em restaurações de resina.

Uma restauração precisa ser trocada quando:

  • Apresenta desgaste natural após anos de uso.

  • Está fraturada ou trincada.

  • Há infiltração e cárie ao redor ou sob ela.

  • Está causando sensibilidade persistente ou dor.

  • Houve perda da anatomia do dente, acumulando placa bacteriana.

  • Por motivos estéticos, como escurecimento ou mudança de cor.

×