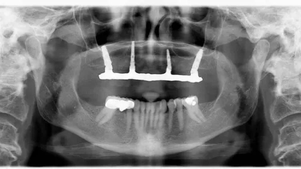
A Revolução do Implante Rápido

Imagine acordar sem dentes e voltar para casa no mesmo dia com um sorriso completo e funcional. Parece impossível? Não é mais. O Implante Total em 1 Mês revolucionou a implantodontia, permitindo que pacientes recuperem sua função mastigatória e estética em tempo recorde. Tradicionalmente, o processo de reabilitação oral com implantes dentários levava de 6 a 12 meses, exigindo múltiplas cirurgias e longos períodos de espera. Hoje, com a tecnologia Straumann SLActive, é possível reduzir esse tempo para apenas 3 a 4 semanas em muitos casos.
Neste artigo completo, você vai descobrir como funciona o Implante Total em 1 Mês, quanto custa, quem pode fazer, e por que a tecnologia Straumann SLActive é considerada o padrão ouro da implantodontia moderna.
Destaque: A Flori Odontologia é especializada em Implante Total com tecnologia Straumann SLActive.
O Que é Implante Total em 1 Mês (Carga Imediata)?
O Implante Total em 1 Mês, também conhecido como Carga Imediata ou Dentes no Mesmo Dia, é uma técnica avançada que permite a instalação de implantes dentários e a colocação de próteses fixas em um período muito curto de tempo.
Diferença Entre Implante Tradicional e Carga Imediata
|
Característica
|
Implante Tradicional
|
Implante Total (Carga Imediata)
|
|
Tempo total
|
6-12 meses
|
3-4 semanas a 3 meses
|
|
Número de cirurgias
|
2-3 cirurgias
|
1 cirurgia
|
|
Prótese provisória
|
Após 3-6 meses
|
No mesmo dia
|
|
Osseointegração
|
3-6 meses
|
3-4 semanas (Straumann SLActive)
|
|
Retorno à vida normal
|
Gradual (meses)
|
Imediato (dias)
|
|
Indicação
|
Todos os casos
|
Casos com boa qualidade óssea
|
Como é Possível Reduzir Tanto o Tempo?
A redução dramática no tempo de tratamento é possível graças a três fatores principais:
- Tecnologia de Superfície Avançada: A superfície SLActive da Straumann acelera a osseointegração (união do implante com o osso) de 3-6 meses para apenas 3-4 semanas.
- Estabilidade Primária: Implantes modernos conseguem estabilidade imediata no osso, permitindo carga (mastigação) desde o primeiro dia.
- Planejamento Digital 3D: Scanner digital e tomografia computadorizada permitem planejamento cirúrgico preciso, reduzindo erros e acelerando o procedimento.
Importante: Nem todos os pacientes são candidatos para Carga Imediata. É necessário ter boa qualidade e quantidade óssea. Casos com deficiência óssea significativa podem exigir enxerto ósseo e tempo adicional.
Como Funciona a Tecnologia Straumann SLActive

A Straumann é uma empresa suíça reconhecida mundialmente como líder em implantodontia. Seus implantes são considerados o padrão ouro da especialidade, e a tecnologia SLActive é o que torna o Implante Total em 1 Mês possível.
O Que Torna o SLActive Especial?
Superfície Hidrofílica Ativa
Diferentemente de implantes convencionais (que têm superfície hidrofóbica), o SLActive possui uma superfície hidrofílica (atrai água e sangue). Isso significa que, no momento da instalação, o sangue do paciente adere imediatamente à superfície do implante, acelerando a cicatrização.
Resultado: Osseointegração em 3-4 semanas (vs. 3-6 meses dos implantes convencionais).
Tecnologia Roxolid
Os implantes Straumann SLActive são feitos de Roxolid, uma liga exclusiva de titânio e zircônio. Esta liga oferece:
- 85% mais resistência que titânio puro
- Biocompatibilidade superior (menor risco de rejeição)
- Implantes mais finos sem perder resistência (ideal para espaços reduzidos)
Protocolo Simplificado
A Straumann desenvolveu um protocolo de tratamento simplificado que permite:
- Cirurgia mais rápida (1-2 horas vs. 3-4 horas)
- Menos trauma cirúrgico
- Recuperação mais rápida
- Resultados mais previsíveis
Comprovação Científica
Os implantes Straumann SLActive foram testados em mais de 500 estudos clínicos ao longo de 30 anos, com taxa de sucesso superior a 98% em 10 anos.
Curiosidade: A Straumann é a única empresa de implantes com certificação ISO 13485 (qualidade médica) e fornece implantes para a NASA em pesquisas espaciais.
Quem Pode Fazer Implante Total em 1 Mês?
Embora o Implante Total em 1 Mês ofereça muitas vantagens, nem todos os pacientes são candidatos ideais. Para garantir o sucesso do tratamento, é necessário atender a alguns requisitos:
✅ Requisitos Essenciais
Boa Saúde Geral
- Sem doenças sistêmicas descontroladas (diabetes, hipertensão)
- Sem uso de medicamentos que prejudiquem cicatrização (bifosfonatos)
- Capacidade de suportar procedimento cirúrgico
Saúde Bucal Adequada
- Sem doenças periodontais ativas (gengivite, periodontite)
- Sem infecções dentárias ou bucais
- Higiene oral satisfatória
Quantidade e Qualidade Óssea Suficiente
- Altura óssea mínima: 10-12mm
- Espessura óssea mínima: 5-6mm
- Densidade óssea adequada (tipo 1, 2 ou 3)
Comprometimento com o Tratamento
- Disponibilidade para consultas de acompanhamento
- Disposição para seguir orientações pós-operatórias
- Não fumar (ou parar de fumar 2 semanas antes e depois)
❌ Contraindicações Relativas
- Fumantes pesados (mais de 10 cigarros/dia) - taxa de falha 2x maior
- Diabéticos descontrolados (HbA1c > 7%) - cicatrização comprometida
- Bruxismo severo (ranger de dentes) - pode sobrecarregar implantes
- Deficiência óssea significativa - pode exigir enxerto ósseo primeiro
🔍 Como Saber Se Você é Candidato?
A única forma de saber com certeza se você pode fazer Implante Total em 1 Mês é através de uma avaliação completa com um especialista em implantes. Esta avaliação inclui:
- Exame clínico (avaliação da boca, dentes, gengiva)
- Radiografia panorâmica (visão geral dos ossos)
- Tomografia computadorizada (análise 3D da quantidade e qualidade óssea)
- Anamnese (histórico médico, medicamentos, hábitos)
Passo a Passo do Procedimento

O procedimento do Implante Total em 1 Mês geralmente segue as seguintes etapas:
Etapa 1: Consulta Inicial e Avaliação (1 hora)
O processo começa com uma consulta inicial onde o Implantodontista avalia sua saúde bucal e determina se você é um candidato adequado para o Implante Total em 1 Mês.
O que acontece:
- Exame clínico completo
- Radiografia panorâmica
- Discussão de objetivos e expectativas
- Esclarecimento de dúvidas
Etapa 2: Planejamento Digital 3D (30 minutos)
Após aprovação, realizamos um planejamento cirúrgico detalhado utilizando Scanner Digital 3D (sem moldagem desconfortável) e solicitamos a tomografia computadorizada.
O que acontece:
- Scanner digital da boca (2 minutos, sem moldagem)
- Pedido para realizar a Tomografia computadorizada
- Planejamento virtual da posição dos implantes
- Simulação do resultado final
Benefício: Cirurgia mais precisa, rápida e segura.
Etapa 3: Cirurgia de Implante (1-2 horas)
No dia da cirurgia, o Implantodontista instala os implantes Straumann SLActive no osso maxilar ou mandibular, seguindo o plano cirúrgico previamente estabelecido.
O que acontece:
- Anestesia local (ou sedação consciente, se preferir)
- Instalação dos implantes (4-6 implantes para All-on-4/All-on-6)
- Colocação de prótese provisória fixa no mesmo dia
- Orientações pós-operatórias
Dor: Mínima durante o procedimento (anestesia). Leve desconforto nos primeiros 2-3 dias (controlado com analgésicos).
Tempo de cirurgia:
- All-on-4: 1-1,5 hora
- All-on-6: 1,5-2 horas
- Implante unitário: 30-45 minutos
Etapa 4: Prótese Provisória (Mesmo Dia)
Imediatamente após a cirurgia, você sai com uma prótese provisória fixa sobre os implantes. Esta prótese permite que você:
- Mastigue alimentos macios desde o primeiro dia
- Sorria com confiança (estética imediata)
- Fale normalmente
Material: Resina acrílica (leve e confortável)
Duração: 3-4 semanas (Straumann SLActive) ou 3-6 meses (implantes convencionais)
Etapa 5: Acompanhamento Pós-operatório (3-4 semanas)
Após a cirurgia, você retorna para consultas de acompanhamento:
7 dias: Remoção de pontos, avaliação da cicatrização
14 dias: Ajuste da prótese provisória (se necessário)
21 dias: Avaliação da osseointegração
28 dias: Liberação para prótese final (Straumann SLActive)
Cuidados pós-operatórios:
- Alimentação líquida/pastosa nos primeiros 7 dias
- Higiene oral cuidadosa (escova macia, enxaguante)
- Evitar esforço físico intenso (7 dias)
- Não fumar (pelo menos 2 semanas)
- Medicação conforme prescrição
Etapa 6: Prótese Final (3-4 semanas)
Após a osseointegração completa (3-4 semanas com Straumann SLActive), a prótese provisória é substituída pela prótese final definitiva.
Material: Porcelana sobre zircônia (mais resistente e estético)
Duração: 15-20+ anos (com manutenção adequada)
Garantia: 5 anos (implantes Straumann) + 3 anos (prótese)
Duração: 15-20+ anos (com manutenção adequada)
Garantia: 5 anos (implantes Straumann) + 3 anos (prótese)
Tipos de Implante Total: All-on-4, All-on-6 e Protocolo

Existem três principais técnicas de Implante Total, cada uma indicada para situações específicas:
1. All-on-4 (Técnica Nobel Biocare)

O que é: Prótese fixa sobre 4 implantes (2 anteriores retos + 2 posteriores inclinados a 45°).
Indicação:
- Perda total de dentes (edêntulos)
- Boa qualidade óssea anterior
- Pouco osso posterior (evita enxerto)
Vantagens:
- Menos implantes = menor custo
- Cirurgia mais rápida (1-1,5h)
- Recuperação mais rápida
- Evita enxerto ósseo na maioria dos casos
Desvantagens:
- Menos estabilidade que All-on-6
- Maior carga em cada implante
Preço médio em São Paulo: R$ 20.000-35.000 (Neodent) | R$ 35.000-50.000 (Straumann)
2. All-on-6
O que é: Prótese fixa sobre 6 implantes (4 anteriores retos + 2 posteriores inclinados).
Indicação:
- Perda total de dentes
- Necessidade de maior estabilidade
- Pacientes com bruxismo
- Arcadas maiores
Vantagens:
- Maior estabilidade
- Melhor distribuição de forças
- Menor risco de fratura da prótese
- Maior durabilidade
Desvantagens:
- Mais caro que All-on-4
- Cirurgia um pouco mais longa (1,5-2h)
Preço médio em São Paulo: R$ 25.000-42.000 (Neodent) | R$ 42.000-60.000 (Straumann)
3. Protocolo Branemark (Tradicional)
O que é: Prótese fixa sobre 6-8 implantes (todos retos, sem inclinação).
Indicação:
- Perda total de dentes
- Boa quantidade óssea em toda arcada
- Necessidade de máxima estabilidade
Vantagens:
- Máxima estabilidade
- Distribuição ideal de forças
- Maior durabilidade
- Permite prótese em porcelana pura
Desvantagens:
- Mais caro
- Cirurgia mais longa (2-3h)
- Pode exigir enxerto ósseo
Preço médio em São Paulo: R$ 30.000-50.000 (Neodent) | R$ 50.000-70.000 (Straumann)
Qual Escolher?
|
Situação
|
Técnica Recomendada
|
|
Pouco osso posterior
|
All-on-4
|
|
Bruxismo (ranger de dentes)
|
All-on-6 ou Protocolo
|
|
Orçamento limitado
|
All-on-4 (Neodent)
|
|
Máxima qualidade
|
Protocolo (Straumann)
|
|
Recuperação rápida
|
All-on-4
|
Straumann vs. Neodent: Qual Escolher?

A Flori Odontologia trabalha com as duas principais marcas de implantes do mundo: Straumann (suíça, premium) e Neodent (brasileira, acessível). Ambas são excelentes, mas têm diferenças importantes:
Comparação Completa
|
Característica
|
Straumann SLActive
|
Neodent
|
|
Origem
|
Suíça
|
Brasil
|
|
Posição no mercado
|
Líder mundial (#1)
|
Líder América Latina (#1)
|
|
Tecnologia
|
SLActive (osseointegração em 3-4 semanas)
|
Superfície Acqua (4-6 semanas)
|
|
Material
|
Roxolid (Ti+Zr)
|
Titânio puro
|
|
Resistência
|
85% mais resistente
|
Resistência padrão
|
|
Estudos clínicos
|
500+ estudos, 30 anos
|
100+ estudos, 20 anos
|
|
Taxa de sucesso
|
98,8% em 10 anos
|
97,5% em 10 anos
|
|
Garantia
|
5 anos (vitalícia em alguns casos)
|
3 anos
|
|
Preço (unitário)
|
R$ 8.000-16.000
|
R$ 2.300-8.000
|
|
Preço (All-on-4)
|
R$ 35.000-50.000
|
R$ 20.000-35.000
|
|
Disponibilidade
|
Global (190 países)
|
América Latina
|
|
Grupo empresarial
|
Straumann Group
|
Straumann Group (adquirida em 2015)
|
Quando Escolher Straumann?
✅ Você quer a melhor tecnologia disponível
✅ Prioriza osseointegração rápida (3-4 semanas)
✅ Tem pouco osso (Roxolid permite implantes mais finos)
✅ Quer garantia estendida (5 anos)
✅ Planeja viajar/morar no exterior (disponibilidade global)
✅ Orçamento permite investir mais
✅ Prioriza osseointegração rápida (3-4 semanas)
✅ Tem pouco osso (Roxolid permite implantes mais finos)
✅ Quer garantia estendida (5 anos)
✅ Planeja viajar/morar no exterior (disponibilidade global)
✅ Orçamento permite investir mais
Quando Escolher Neodent?
✅ Busca excelente custo-benefício
✅ Orçamento mais limitado
✅ Não tem pressa (osseointegração em 4-6 semanas está ótimo)
✅ Quer marca nacional (facilita manutenção)
✅ Confia na mesma qualidade (mesmo grupo Straumann)
✅ Orçamento mais limitado
✅ Não tem pressa (osseointegração em 4-6 semanas está ótimo)
✅ Quer marca nacional (facilita manutenção)
✅ Confia na mesma qualidade (mesmo grupo Straumann)
Nossa Recomendação
Para All-on-4/All-on-6: Straumann SLActive (vale o investimento pela osseointegração rápida)
Para implante unitário: Neodent (excelente custo-benefício)
Para casos complexos: Straumann (maior previsibilidade)
Importante: Ambas as marcas são excelentes e aprovadas pela ANVISA e FDA. A escolha depende mais do seu orçamento e prioridades do que de diferença de qualidade.
Quanto Custa Implante Total em 1 Mês?
O preço do Implante Total em 1 Mês varia significativamente dependendo da técnica, marca dos implantes e complexidade do caso. Veja os valores que normalmente são praticados em São Paulo:
Tabela de Preços (São Paulo - 2025)
|
Tipo de Implante
|
Neodent
|
Straumann SLActive
|
|
Implante Unitário
|
R$ 2.300-5.000
|
R$ 8.000-12.000
|
|
All-on-4 (1 arcada)
|
R$ 20.000-28.000
|
R$ 35.000-45.000
|
|
All-on-6 (1 arcada)
|
R$ 25.000-35.000
|
R$ 42.000-55.000
|
|
Implante Protocolo (1 arcada)
|
R$ 30.000-42.000
|
R$ 50.000-65.000
|
|
All-on-4 (2 arcadas)
|
R$ 38.000-52.000
|
R$ 65.000-85.000
|
|
All-on-6 (2 arcadas)
|
R$ 48.000-66.000
|
R$ 80.000-105.000
|
Observações:
- Preços incluem: implantes, cirurgia, prótese provisória e final, acompanhamento
- Não incluem: enxerto ósseo (se necessário), sedação consciente (opcional)
- Valores podem variar conforme complexidade do caso
O Que normalmente está incluso no Preço?
✅ Consulta inicial e avaliação
✅ Planejamento digital 3D
✅ Cirurgia de implante
✅ Implantes Straumann ou Neodent
✅ Prótese provisória (mesmo dia)
✅ Acompanhamento pós-operatório (1 ano)
✅ Prótese final definitiva
✅ Garantia (3-5 anos)
✅ Planejamento digital 3D
✅ Cirurgia de implante
✅ Implantes Straumann ou Neodent
✅ Prótese provisória (mesmo dia)
✅ Acompanhamento pós-operatório (1 ano)
✅ Prótese final definitiva
✅ Garantia (3-5 anos)
Formas de Parcelamento
Tendo em vista os elevados valores, é comum que a clínica ofereça condições facilitadas de pagamento:
Opção 1: À Vista (desconto de 5% a 10%)
Opção 2: Parcelamento entre 12x e 24x
Opção 3: Financiamento Bancário - Consulte o seu banco para verificar as condições, normalmente um financiamento bancário pode ser mais vantajoso do que um financiamento direto com a Clínica.
6 Dicas Para Pagar Menos
- Agende avaliação - descubra se você precisa mesmo de All-on-4 ou se implantes unitários resolvem
- Se possível, faça a opção pela Neodent - qualidade similar com um preço de 40-50% mais barato
- Pague à vista - desconto de 5-10%
- Faça 1 arcada por vez - divide investimento em 2 etapas
- Negocie - pergunte sobre condições especiais ou formas alternativas de parcelamento
- Verifique o reembolso no plano odontológico - alguns cobrem parte do implante
Perguntas Frequentes (FAQ)
1. Implante Total em 1 Mês dói?
Não. Durante a cirurgia, você estará sob anestesia local (ou sedação consciente, se preferir) e não sentirá dor. Após a cirurgia, é normal sentir um leve desconforto nos primeiros 2-3 dias, facilmente controlado com analgésicos comuns (paracetamol, ibuprofeno). A maioria dos pacientes relata que a dor é muito menor do que imaginavam.
Dica: Se você tem muito medo de dor, opte pela sedação consciente com óxido nitroso (disponível na Flori Odontologia). Você fica relaxado durante todo o procedimento e não lembra de nada depois.
2. Quanto tempo demora para voltar ao normal?
3-7 dias. A maioria dos pacientes retorna ao trabalho e atividades normais em 3-5 dias. Nos primeiros 7 dias, recomenda-se:
- Alimentação líquida/pastosa (sopas, vitaminas, purês)
- Evitar esforço físico intenso
- Não fumar
- Higiene oral cuidadosa
Após 7 dias, você pode voltar gradualmente à alimentação normal, começando com alimentos macios (peixe, frango desfiado, massas) e progredindo para alimentos mais duros conforme se sentir confortável.
3. Posso comer normalmente com a prótese provisória?
Sim, mas com restrições. A prótese provisória permite mastigação desde o primeiro dia, mas você deve evitar:
- Alimentos muito duros (torresmo, amendoim, gelo)
- Alimentos muito pegajosos (balas, chicletes)
- Morder com os dentes da frente (use os posteriores)
Com a prótese final (após 3-4 semanas), você pode comer praticamente qualquer coisa, incluindo carne, maçã, milho na espiga, etc.
4. Straumann é muito melhor que Neodent?
Não necessariamente. Ambas são marcas excelentes aprovadas pela ANVISA e FDA. A principal diferença é:
- Straumann: Osseointegração mais rápida (3-4 semanas vs. 4-6 semanas), maior resistência, garantia estendida, preço 40-50% maior.
- Neodent: Excelente custo-benefício, mesma taxa de sucesso a longo prazo, pertence ao mesmo grupo Straumann.
Recomendação: Se você quer o melhor e pode pagar, escolha Straumann. Se busca excelente qualidade com preço mais acessível, escolha Neodent. Ambas são ótimas opções.
5. Preciso ficar sem dentes durante o tratamento?
Não! Esta é uma das grandes vantagens do Implante Total em 1 Mês. Você sai da cirurgia com uma prótese provisória fixa no mesmo dia. Ou seja, você nunca fica sem dentes.
Timeline:
- Dia 0: Cirurgia + prótese provisória (sai com dentes)
- Dias 1-28: Usa prótese provisória (já pode mastigar, sorrir, falar)
- Dia 28: Troca para prótese final definitiva
6. Implante pode rejeitar?
Não. O implante dentário não é um órgão, portanto não pode ser "rejeitado" pelo corpo. O que pode acontecer (em 2-5% dos casos) é falha de osseointegração, ou seja, o implante não se integra adequadamente ao osso.
Causas de falha:
- Tabagismo (risco 2x maior)
- Diabetes descontrolado
- Higiene oral inadequada
- Infecção pós-operatória
- Sobrecarga precoce (mastigar alimentos duros nos primeiros dias)
Solução: Se houver falha, o implante é removido e um novo é instalado após 2-3 meses, geralmente sem custo adicional (garantia).
7. Quanto tempo dura um implante?
20-30+ anos, podendo durar a vida toda. Estudos mostram que implantes Straumann têm taxa de sucesso de 98,8% em 10 anos e 95% em 20 anos. Com manutenção adequada (higiene oral, consultas regulares), seu implante pode durar para sempre.
Fatores que influenciam a durabilidade:
- Higiene oral (escovação, fio dental, limpezas profissionais)
- Marca do implante (Straumann e Neodent são as mais duráveis)
- Qualidade da cirurgia (especialista experiente)
- Hábitos (não fumar, não ranger os dentes)
Garantia: Straumann oferece garantia de 5 anos (vitalícia em alguns casos). Neodent oferece 3 anos.
8. Fumante pode fazer implante?
Sim, mas com ressalvas. Fumar aumenta o risco de falha do implante em 2x (de 2-3% para 4-6%). Isso acontece porque o cigarro:
- Reduz circulação sanguínea (prejudica cicatrização)
- Diminui oxigenação dos tecidos
- Aumenta risco de infecção
Recomendação:
- Parar de fumar 2 semanas antes da cirurgia
- Não fumar por pelo menos 2 semanas após a cirurgia
- Idealmente, parar de fumar definitivamente
Se você não consegue parar de fumar, ainda assim pode fazer implante, mas a taxa de sucesso será um pouco menor.
9. Diabético pode fazer implante?
Sim, desde que o diabetes esteja controlado. Pacientes diabéticos com glicemia controlada (HbA1c < 7%) têm taxa de sucesso similar a não-diabéticos.
Requisitos:
- Diabetes controlado (glicemia em jejum < 130 mg/dL)
- HbA1c < 7%
- Acompanhamento médico regular
- Higiene oral rigorosa
Cuidados especiais:
- Antibiótico profilático (prevenir infecção)
- Acompanhamento pós-operatório mais frequente
- Atenção redobrada à higiene oral
10. Preciso de enxerto ósseo?
Depende. Cerca de 30-40% dos pacientes que perderam dentes há muito tempo precisam de enxerto ósseo para ter quantidade óssea suficiente para o implante.
Quando é necessário:
- Perda óssea significativa (altura < 10mm ou espessura < 5mm)
- Perda de dentes há mais de 2 anos
- Uso prolongado de dentadura (reabsorção óssea)
- Periodontite avançada
Alternativas ao enxerto:
- All-on-4 (implantes inclinados aproveitam osso disponível)
- Implantes curtos (quando há pouca altura)
- Implantes zigomáticos (casos severos)
Custo médio do enxerto em São Paulo: R$ 2.000-8.000 (dependendo da extensão)
11. Posso fazer implante se uso dentadura há anos?
Sim! Muitos pacientes que usam dentadura há décadas fazem implante com sucesso. No entanto, o uso prolongado de dentadura causa reabsorção óssea (perda de osso), o que pode exigir:
- Enxerto ósseo (30-40% dos casos)
- Técnica All-on-4 (evita enxerto na maioria dos casos)
- Implantes zigomáticos (casos severos de perda óssea)
Importante: Quanto mais tempo você usa dentadura, mais osso você perde. Por isso, se está pensando em fazer implante, não adie. Cada ano que passa, a cirurgia fica mais complexa e cara.
12. Qual a diferença entre All-on-4, All-on-6 e Protocolo?
|
Característica
|
All-on-4
|
All-on-6
|
Protocolo
|
|
Implantes
|
4
|
6
|
6-8
|
|
Preço
|
R$ 20-45k
|
R$ 25-55k
|
R$ 30-65k
|
|
Cirurgia
|
1-1,5h
|
1,5-2h
|
2-3h
|
|
Estabilidade
|
⭐⭐⭐
|
⭐⭐⭐⭐
|
⭐⭐⭐⭐⭐
|
|
Enxerto ósseo
|
Raramente
|
Às vezes
|
Frequentemente
|
|
Bruxismo
|
❌
|
✅
|
✅✅
|
|
Durabilidade
|
10-15 anos
|
15-20 anos
|
20-30+ anos
|
Recomendação: All-on-4 para a maioria dos casos (melhor custo-benefício). All-on-6 se você tem bruxismo ou quer máxima estabilidade. Protocolo se você tem boa quantidade óssea e quer o melhor.
Conclusão: Vale a Pena Fazer Implante Total em 1 Mês?
Sim, absolutamente! O Implante Total em 1 Mês com Straumann SLActive representa uma revolução na implantodontia, oferecendo aos pacientes uma solução rápida, eficaz e de alta qualidade para recuperar função mastigatória e estética.
Vantagens Resumidas
✅ Rapidez: Dentes novos em 3-4 semanas (vs. 6-12 meses do implante tradicional)
✅ Conforto: Prótese provisória no mesmo dia (nunca fica sem dentes)
✅ Tecnologia: Straumann SLActive acelera osseointegração
✅ Durabilidade: 20-30+ anos com manutenção adequada
✅ Taxa de sucesso: 98,2% (superior à média)
✅ Qualidade de vida: Volta a comer, sorrir e falar com confiança
✅ Conforto: Prótese provisória no mesmo dia (nunca fica sem dentes)
✅ Tecnologia: Straumann SLActive acelera osseointegração
✅ Durabilidade: 20-30+ anos com manutenção adequada
✅ Taxa de sucesso: 98,2% (superior à média)
✅ Qualidade de vida: Volta a comer, sorrir e falar com confiança
Quando Vale a Pena?
- Você perdeu todos ou quase todos os dentes
- Usa dentadura e está insatisfeito
- Tem boa saúde geral e bucal
- Pode investir R$ 20.000-65.000 (ou parcelar em até 24x)
- Quer solução definitiva (não provisória)
Quando NÃO Vale a Pena?
- Você tem apenas 1-2 dentes perdidos (implante unitário é melhor)
- Tem doenças sistêmicas descontroladas
- Fuma muito e não consegue parar
- Não tem condições financeiras (considere prótese removível)
Especialista com sólida experiência em Implantes Dentários
Expertise sólida, construída sobre uma base acadêmica de alto nível.
Opiniões dos nossos pacientes
EXCELENTE Com base em 35 avaliações Publicado em Jony MarquesTrustindex verifica se a fonte original da avaliação é Google. Fiz uma limpeza hoje e o atendimento foi excelente. A Dra. Valéria foi muito atenciosa, explicou todo o procedimento com calma e me deixou muito à vontade. A clínica é bem estruturada e conta com tecnologias modernas que realmente potencializam os resultados. Recomendo!Publicado em Daniel NascimentoTrustindex verifica se a fonte original da avaliação é Google. Excelente ambiente, dr Valeria estomatologista muito boa profissional abordou minha situação de forma leve e muito segura dos procedimentos a serem realizados explicando cada passo do processo com muita clareza, o que me deu a certeza de que tudo daria certo.Publicado em Elaine CasemiroTrustindex verifica se a fonte original da avaliação é Google. Ótimo local! Ambiente aconchegante e acolhedor, com profissionais altamente qualificados e humanizados. Além disso, a limpeza é impecável — transmitindo cuidado e excelência em cada detalhe.Publicado em Gabriel TeixeiraTrustindex verifica se a fonte original da avaliação é Google. Ótimos profissionais, atendimento top e um espaço bonito e agradável. Simplesmente sensacional. Super recomendo!Publicado em Regiana MartinaTrustindex verifica se a fonte original da avaliação é Google. A dra Juliana e o dr André são excelentes profissionais e também muito humanos no trato com os clientes. A minha mãe, com 94 anos, está sendo tratada pela dra Juliana, que conseguiu melhorar em muito a saúde bucal dela, o que outros dentistas , no passado, não conseguiram. Já o dr André me proporcionou uma melhora significativa, ao longo do meu tratamento, tanto na parte estrutural quanto na parte estética dos meus dentes. A clínica também possui uma estrutura excelente e o custo é facilitado. Só posso agradecer muito à dra Juliana e ao dr André por tudo que fizeram por mim e pela minha mãe!Publicado em Lucas SousaTrustindex verifica se a fonte original da avaliação é Google. Clínica super preparada e profissionais simpáticos!Publicado em Aline Cristina Dias Da PublicaçãoTrustindex verifica se a fonte original da avaliação é Google. Equipe muito atenciosa, respeitosas! Entendeu totalmente minhas críticas. Super atendimento!Certificado: TrustindexO selo verificado do Trustindex é o Símbolo Universal de Confiança. Apenas as melhores empresas podem obter o selo verificado que tem uma pontuação de avaliação acima de 4.5, com base nas avaliações dos clientes nos últimos 12 meses. Leia mais
Flori Odontologia
- EndereçoRua Cayowaá, 759 - Perdizes São Paulo 05018-001 Brasil
- Emailatendimento@floriodontologia.com.br
- Telefone+55 11 98773-2576
