
Se você chegou até aqui pesquisando por “protocolo implante preço”, “protocolo branemark preço” ou “dentadura fixa valor”, é provável que você ou alguém que você ama esteja buscando uma solução definitiva para a perda de todos os dentes. O sonho de abandonar a dentadura móvel, com suas inseguranças e desconfortos, e voltar a sorrir, falar e comer com total confiança, é o que move milhares de pacientes em direção à prótese protocolo. Mas o que exatamente é uma “prótese protocolo”? Qual a diferença para o famoso “Protocolo de Branemark”? E, mais importante, qual o investimento necessário para realizar este tratamento em São Paulo em 2025?
Este guia definitivo, preparado pela equipe de especialistas em implantes dentários da Flori Odontologia, irá desmistificar todos esses termos. Vamos mergulhar no universo da prótese protocolo, desde sua criação histórica até as modernas técnicas de All-on-4 e All-on-6, e apresentar uma análise transparente dos fatores que compõem o valor final do seu novo sorriso.
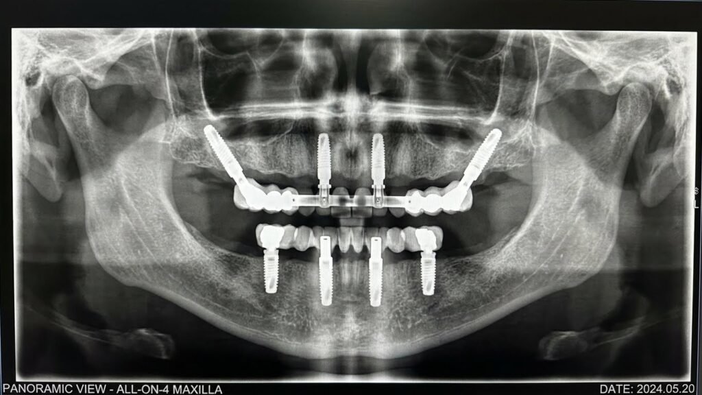
O que é a Prótese Protocolo? A Dentadura Fixa que Revolucionou a Odontologia

A prótese protocolo, também conhecida como “dentadura fixa” ou “ponte fixa sobre implantes”, é uma solução de reabilitação oral completa para pacientes que perderam todos os dentes de uma arcada (superior ou inferior). Trata-se de uma estrutura única contendo todos os dentes (geralmente 12), que é parafusada de forma permanente sobre um número estratégico de implantes de titânio (geralmente 4 ou 6).
Ao contrário da dentadura convencional (móvel), a prótese protocolo não se apoia na gengiva, mas sim diretamente nos implantes integrados ao osso. Isso elimina completamente os problemas de instabilidade, desconforto e perda de paladar associados às dentaduras.
Principais Vantagens da Prótese Protocolo:
|
Característica
|
Dentadura Móvel
|
Prótese Protocolo Fixa
|
|
Fixação
|
Apoiada na gengiva, instável
|
Parafusada nos implantes, 100% estável
|
|
Segurança
|
Risco de deslocamento ao falar ou comer
|
Total segurança, como dentes naturais
|
|
Paladar
|
Cobertura do céu da boca, reduz o paladar
|
Céu da boca livre, paladar preservado
|
|
Força Mastigatória
|
20-30% da força original
|
85-95% da força mastigatória original
|
|
Estética
|
Aparência artificial
|
Altamente estética, dentes personalizados
|
|
Manutenção
|
Requer remoção para higiene, adesivos
|
Higiene similar aos dentes naturais
|
A História do Protocolo de Branemark: Da Carga Tardia à Carga Imediata
O termo “Protocolo de Branemark” é a origem de tudo. Ele se refere à técnica original desenvolvida pelo médico sueco Per-Ingvar Brånemark, considerado o “pai” da osseointegração. Foi ele quem descobriu que o titânio podia se fundir de forma estável ao osso humano, abrindo as portas para a implantodontia moderna.
O protocolo original de Branemark, no entanto, era um processo longo e dividido em duas etapas cirúrgicas:
- Primeira Cirurgia: Os implantes eram instalados e deixados “submersos” sob a gengiva, sem receber carga, por um período de 4 a 6 meses para garantir a osseointegração.
- Segunda Cirurgia: Após o período de cicatrização, uma segunda cirurgia era necessária para expor os implantes e, só então, conectar a prótese fixa.
Hoje, as técnicas evoluíram drasticamente. As soluções modernas, como o All-on-4 e o All-on-6, são evoluções diretas do conceito de Branemark, mas com uma vantagem revolucionária: a carga imediata.
|
Característica
|
Protocolo Branemark (Original)
|
Protocolo Moderno (All-on-4/6)
|
|
Carga da Prótese
|
Tardia (4-6 meses)
|
Imediata (prótese provisória no mesmo dia)
|
|
Fases Cirúrgicas
|
Duas
|
Uma
|
|
Necessidade de Enxerto
|
Frequente
|
Reduzida (com implantes angulados)
|
|
Tempo de Tratamento
|
Longo (6-9 meses)
|
Curto (3-6 meses para prótese definitiva)
|
Em resumo: quando se fala em “prótese protocolo” hoje, estamos nos referindo às técnicas modernas de carga imediata, como o All-on-4 e o All-on-6, que oferecem um tratamento mais rápido, confortável e, muitas vezes, sem a necessidade de enxertos ósseos.
Tipos de Prótese Protocolo: All-on-4 vs. All-on-6
Os dois principais tipos de prótese protocolo utilizados hoje são o All-on-4 e o All-on-6. A escolha entre eles é uma decisão clínica baseada na qualidade óssea do paciente.
- Protocolo All-on-4: Utiliza 4 implantes. É a solução ideal para a maioria dos casos, especialmente quando há alguma perda óssea na região posterior, pois utiliza implantes angulados para evitar a necessidade de enxertos. Saiba mais sobre o All-on-4 aqui.
- Protocolo All-on-6: Utiliza 6 implantes. É indicado para pacientes que precisam de estabilidade máxima, como aqueles com osso de baixa qualidade (comum na maxila) ou bruxismo severo. Os dois implantes adicionais distribuem melhor as forças mastigatórias. Saiba mais sobre o All-on-6 aqui.
Protocolo Implante Dentário Preço em São Paulo: Tabela de Valores 2025

O valor de uma prótese protocolo é determinado principalmente por dois fatores: a quantidade de implantes (4 ou 6) e o material da prótese definitiva. A tabela abaixo oferece uma visão clara e realista dos custos em São Paulo para 2025.
|
Material da Prótese
|
Preço Estimado para All-on-4 (4 implantes)
|
Preço Estimado para All-on-6 (6 implantes)
|
|
Resina Acrílica
|
R$ 20.000 – R$ 32.000
|
R$ 25.000 – R$ 38.000
|
|
Porcelana (Metalocerâmica)
|
R$ 30.000 – R$ 45.000
|
R$ 36.000 – R$ 52.000
|
|
Zircônia Pura
|
R$ 42.000 – R$ 58.000+
|
R$ 50.000 – R$ 68.000+
|
Atenção: Estes valores são uma estimativa para o mercado de São Paulo e incluem a cirurgia, os implantes e a prótese definitiva. Desconfie de valores muito abaixo desta faixa, pois podem indicar o uso de materiais de qualidade inferior, profissionais sem especialização ou a não inclusão de todas as etapas no orçamento.
Decodificando o Orçamento: 5 Fatores que Definem o Valor Final

- Quantidade de Implantes (4 vs. 6): Como visto na tabela, o All-on-6 tem um custo 15-25% maior devido aos dois implantes e componentes protéticos adicionais.
- Material da Prótese (Resina vs. Porcelana vs. Zircônia): Este é o fator de maior impacto no preço.
- Resina: Opção de entrada, funcional e estética, mas menos durável e mais suscetível a manchas e desgastes.
- Porcelana: Excelente custo-benefício, com alta resistência e estética, mas possui uma estrutura interna de metal.
- Zircônia: A opção premium. Material cerâmico de altíssima resistência, 100% branco (sem metal), biocompatível e com uma translucidez que imita perfeitamente um dente natural.
- Marca do Implante (Straumann® vs. Neodent®): A escolha de marcas líderes, com décadas de pesquisa científica, como a suíça Straumann (premium) e a brasileira Neodent (do Grupo Straumann), garante maiores taxas de sucesso e segurança a longo prazo.
- Necessidade de Procedimentos Adicionais: Em alguns casos, procedimentos como enxerto ósseo podem ser necessários antes da instalação dos implantes, o que adiciona um custo ao tratamento total.
- Tecnologia e Qualificação da Equipe: Clínicas que investem em scanner intraoral 3D, planejamento digital e guias cirúrgicas, e que contam com especialistas em Implantodontia e Prótese, como a Dra. Kétlin Andrade, oferecem um tratamento mais preciso, seguro e previsível.
FAQ – Perguntas Frequentes sobre a Prótese Protocolo
1. Qual a diferença de preço entre a prótese protocolo e implantes individuais?
A diferença é enorme. Para reabilitar uma arcada com 12 dentes, seriam necessários de 10 a 12 implantes individuais, o que poderia custar entre R$ 80.000 e R$ 120.000. A prótese protocolo é uma solução muito mais inteligente e financeiramente viável, pois utiliza apenas 4 ou 6 implantes para suportar todos os dentes.
2. Quanto tempo dura o tratamento com prótese protocolo?
O tratamento é rápido. A cirurgia e a instalação da prótese provisória fixa ocorrem em um único dia (carga imediata). Após um período de 3 a 6 meses para a osseointegração, a prótese provisória é substituída pela definitiva (em resina, porcelana ou zircônia).
3. A cirurgia para instalar os implantes dói?
Não. A cirurgia é realizada sob anestesia local e é indolor. Para pacientes com ansiedade ou medo, a Flori Odontologia oferece opções de sedação consciente, garantindo um procedimento totalmente tranquilo e livre de estresse.
4. Como é a higiene da prótese protocolo?
A higiene é crucial para a longevidade do tratamento. Ela é feita com escovas de dente normais, escovas interdentais e irrigadores orais (como o Waterpik), que jateiam água para limpar o espaço entre a prótese e a gengiva.
5. A prótese protocolo pode quebrar? Qual a garantia?
É muito raro, especialmente com próteses de porcelana ou zircônia. A garantia varia conforme o material e a clínica, mas na Flori Odontologia oferecemos garantias extensas, pois trabalhamos com os melhores materiais e marcas de implantes do mundo.
6. O convênio odontológico cobre o tratamento com prótese protocolo?
É muito raro que convênios cubram o tratamento completo. No entanto, eles podem cobrir procedimentos associados, como extrações, exames ou consultas. Nossa equipe pode ajudar a verificar sua cobertura.
Conclusão: Um Investimento na Sua Qualidade de Vida

Compreender o “protocolo implante preço” é o primeiro passo para uma decisão informada. Mais do que um valor, a prótese protocolo representa um investimento direto na sua qualidade de vida, autoestima e saúde. As técnicas modernas, como All-on-4 e All-on-6, tornaram este tratamento mais rápido, seguro e acessível do que nunca.
A escolha entre 4 ou 6 implantes, e entre resina, porcelana ou zircônia, definirá o caminho e o valor final. Na Flori Odontologia, nosso compromisso é com a transparência e a indicação correta para o seu caso. Através de um diagnóstico preciso e um planejamento digital, nosso implantodontista irá guiá-lo para a solução que oferece a melhor combinação de segurança, estética e longevidade.
Dê o primeiro passo para deixar a dentadura no passado. Agende sua avaliação e descubra o poder de um sorriso fixo e confiante.
Especialista com sólida experiência em Implantes Dentários
Expertise sólida, construída sobre uma base acadêmica de alto nível.
Opiniões dos nossos pacientes
EXCELENTE Com base em 34 avaliações Publicado em Daniel NascimentoTrustindex verifica se a fonte original da avaliação é Google. Excelente ambiente, dr Valeria estomatologista muito boa profissional abordou minha situação de forma leve e muito segura dos procedimentos a serem realizados explicando cada passo do processo com muita clareza, o que me deu a certeza de que tudo daria certo.Publicado em Elaine CasemiroTrustindex verifica se a fonte original da avaliação é Google. Ótimo local! Ambiente aconchegante e acolhedor, com profissionais altamente qualificados e humanizados. Além disso, a limpeza é impecável — transmitindo cuidado e excelência em cada detalhe.Publicado em Gabriel TeixeiraTrustindex verifica se a fonte original da avaliação é Google. Ótimos profissionais, atendimento top e um espaço bonito e agradável. Simplesmente sensacional. Super recomendo!Publicado em Regiana MartinaTrustindex verifica se a fonte original da avaliação é Google. A dra Juliana e o dr André são excelentes profissionais e também muito humanos no trato com os clientes. A minha mãe, com 94 anos, está sendo tratada pela dra Juliana, que conseguiu melhorar em muito a saúde bucal dela, o que outros dentistas , no passado, não conseguiram. Já o dr André me proporcionou uma melhora significativa, ao longo do meu tratamento, tanto na parte estrutural quanto na parte estética dos meus dentes. A clínica também possui uma estrutura excelente e o custo é facilitado. Só posso agradecer muito à dra Juliana e ao dr André por tudo que fizeram por mim e pela minha mãe!Publicado em Lucas SousaTrustindex verifica se a fonte original da avaliação é Google. Clínica super preparada e profissionais simpáticos!Publicado em Aline Cristina Dias Da PublicaçãoTrustindex verifica se a fonte original da avaliação é Google. Equipe muito atenciosa, respeitosas! Entendeu totalmente minhas críticas. Super atendimento!Publicado em Carlos EduardoTrustindex verifica se a fonte original da avaliação é Google. Melhor clínica odontológica que já fui em Perdizes! Fiz a primeira consulta com a Estomatologista que foi ótima, foi bem objetiva e fez o encaminhamento para o tratamento de canal. O que gostei é que o tratamento é muito profissional, diferente das clínicas familiares que o Pai recomenda o tratamento com o Filho. O endodontista também foi muito profissional e resolveu tudo super rápido e sem dor nenhuma. A clínica possui uma decoração de ótimo gosto além de uma higiene impecável! Os preços estão bem em linha com os outros dentistas na região, mas no quesito qualidade eles estão muito bem.Certificado: TrustindexO selo verificado do Trustindex é o Símbolo Universal de Confiança. Apenas as melhores empresas podem obter o selo verificado que tem uma pontuação de avaliação acima de 4.5, com base nas avaliações dos clientes nos últimos 12 meses. Leia mais
Flori Odontologia
- EndereçoRua Cayowaá, 759 - Perdizes São Paulo 05018-001 Brasil
- Emailatendimento@floriodontologia.com.br
- Telefone+55 11 98773-2576


