
O Que é Mordida Profunda (Sobremordida)?
Causas Comuns da Mordida Profunda
- Fatores Genéticos: A hereditariedade desempenha um papel importante na estrutura óssea e no desenvolvimento dentário.
- Hábitos Parafuncionais: Ranger os dentes (bruxismo), pressionar a língua contra os dentes ou hábitos de sucção (como chupar o dedo na infância) podem contribuir para o desenvolvimento da mordida profunda.
- Perda de Dentes Posteriores: A ausência de dentes na parte de trás da boca pode levar a uma diminuição da dimensão vertical da mordida, agravando a sobremordida.
- Desenvolvimento Muscular: Uma musculatura mastigatória muito forte pode exercer uma pressão excessiva, contribuindo para a extrusão dos dentes anteriores.
Por Que Tratar a Mordida Profunda é Importante?

Ignorar uma mordida profunda pode levar a uma série de complicações que vão muito além da estética do sorriso. Entre os principais problemas, podemos citar:
- Desgaste Acentuado dos Dentes: O atrito constante pode causar um desgaste severo nos incisivos inferiores.
- Problemas na Articulação Temporomandibular (ATM): Dores de cabeça, estalos ao abrir e fechar a boca e dores na mandíbula são sintomas comuns.
- Lesões na Gengiva: Os dentes inferiores podem tocar o céu da boca (palato), causando feridas e irritação.
- Dificuldades na Mastigação: A função mastigatória pode ser comprometida, afetando a digestão.
- Problemas Estéticos: Um “sorriso gengival” ou a aparência de um queixo retraído podem afetar a autoestima.
Invisalign Funciona para Mordida Profunda?
Como o Invisalign Corrige a Mordida Profunda?
- Intrusão dos Dentes Anteriores: Os alinhadores aplicam forças para “intruir” os dentes anteriores, ou seja, movê-los verticalmente de volta para o osso. Isso reduz a sobreposição excessiva que caracteriza a mordida profunda.
- Extrusão dos Dentes Posteriores: Em alguns casos, é necessário “extruir” os dentes posteriores (pré-molares e molares), movendo-os para fora do osso para abrir a mordida e dar mais espaço vertical.
- Attachments: Pequenas peças de resina da cor do dente que são coladas em alguns dentes para ajudar o alinhador a ter um melhor “agarre” e aplicar as forças de forma mais eficaz.
- Elásticos: Semelhantes aos usados em aparelhos fixos, os elásticos conectam a arcada superior e inferior para auxiliar na correção da mordida.
- Rampas de Mordida (Bite Ramps): Pequenas rampas de acrílico que podem ser integradas aos alinhadores para desocluir os dentes posteriores e facilitar a correção da sobremordida.
Correção da Mordida Profunda com Invisalign e Elásticos
Após o término do crescimento (geralmente após os 12 ou 13 anos de idade), não podemos mais contar com aparelhos de avanço mandibular para corrigir a sobremordida.
Uma técnica envolve o uso de elásticos com alinhadores Invisalign. Esses elásticos são semelhantes aos usados com aparelhos ortodônticos tradicionais. Eles movem gradualmente os dentes inferiores para a frente enquanto movem os dentes superiores para trás, corrigindo assim a sobremordida.
Correção da Mordida Profunda Severa com o dispositivo Motion
Para pacientes com sobremordida mais severa, um dispositivo adicional chamado aparelho de “movimento” será a solução mais útil.
Este dispositivo simples, porém eficaz, consiste em uma pequena barra que é colocada sobre os dentes superiores. O paciente utiliza então elásticos por um período determinado para ajudar a reduzir a sobremordida e, simultaneamente, alinhar a arcada inferior.
Invisalign G8: A Tecnologia Mais Avançada para Mordida Profunda
- Melhoria de até 2x na previsibilidade clínica da intrusão dos incisivos.
- Níveis de força de intrusão otimizados para cada dente.
- Colocação automática de rampas de mordida de precisão, que melhoram a intrusão dos incisivos inferiores em até 30%. [4]
Tempo de Tratamento e Fatores de Influência
- Severidade do Caso: Mordidas profundas leves a moderadas podem ser corrigidas mais rapidamente, geralmente entre 6 a 18 meses. Casos mais complexos podem levar 24 meses ou mais.
- Idade do Paciente: Pacientes mais jovens, cujos ossos maxilares ainda estão em desenvolvimento, tendem a responder mais rapidamente ao tratamento.
- Disciplina do Paciente: O sucesso do tratamento com Invisalign depende diretamente do uso dos alinhadores por 20 a 22 horas por dia. Retirá-los com frequência pode atrasar significativamente o progresso.
- Complexidade dos Movimentos: A necessidade de movimentos dentários mais complexos ou o uso de acessórios como elásticos pode estender o tempo de tratamento.
Vantagens e Desvantagens do Invisalign para Mordida Profunda
|
Vantagens
|
Desvantagens
|
|
Estética Superior
|
Exige Disciplina
|
|
Praticamente invisível, não afeta a autoestima.
|
O paciente precisa se comprometer a usar os alinhadores 20-22h por dia.
|
|
Mais Confortável
|
Pode ser Inadequado para Casos Severos
|
|
Sem fios ou bráquetes metálicos para irritar a boca.
|
Casos de mordida profunda esquelética severa podem exigir cirurgia.
|
|
Higiene Facilitada
|
Custo
|
|
Os alinhadores são removíveis, permitindo escovação e uso de fio dental normais.
|
O investimento pode ser maior que o de aparelhos convencionais.
|
|
Sem Restrições Alimentares
|
Risco de Perda
|
|
Basta remover os alinhadores para comer o que quiser.
|
Por ser removível, existe o risco de perder ou danificar os alinhadores.
|
|
Previsibilidade
|
Necessidade de Acessórios
|
|
O planejamento digital permite visualizar o resultado final e o tempo de tratamento.
|
Em muitos casos, são necessários attachments e elásticos.
|
Quanto Custa o Tratamento com Invisalign no Brasil?
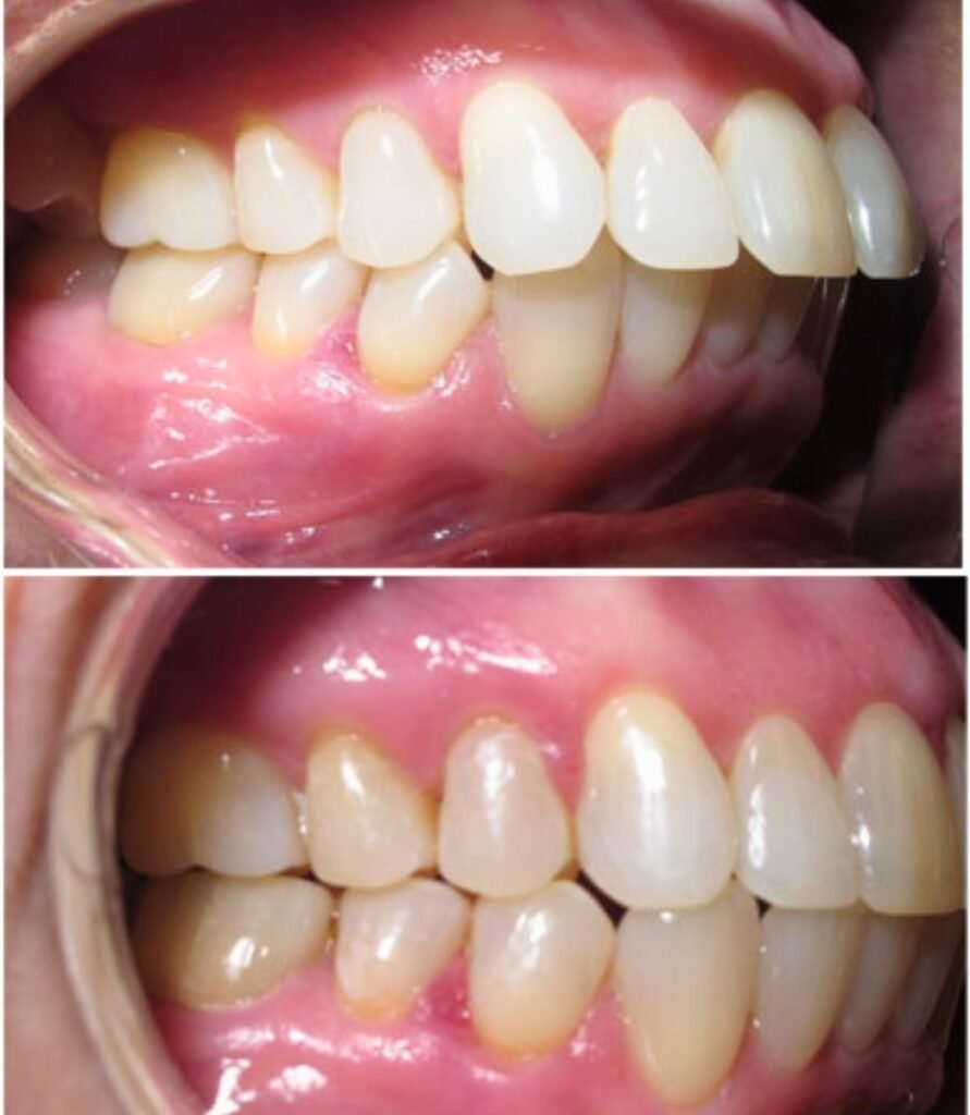
Casos de Sucesso: Antes e Depois


Exemplo de correção de mordida profunda com Invisalign. Os resultados podem variar de paciente para paciente.
Perguntas Frequentes (FAQ)
1. Invisalign funciona para todos os casos de mordida profunda?
2. O tratamento com Invisalign para mordida profunda dói?
3. Preciso usar elásticos com o Invisalign para mordida profunda?
4. Qual a diferença entre mordida profunda e sobremordida?
5. Crianças podem tratar mordida profunda com Invisalign?
Conclusão: Vale a Pena Tratar a Mordida Profunda com Invisalign?
Tratamento da Mordida Profunda com Invisalign na Flori Odontologia
Invisalign Doctor
15 anos de experiênciaTratamento completoAcompanhamento próximo
A Dra. Juliana Flório possui 15 anos de experiência atuando como Ortodontista.
- Credenciada pela Invisalign há mais de 10 anos
- Especialista em Odontologia Miofuncional
- Capacitação para Laser de alta e baixa potência
- Membro da IALD
Capacitação em Periodontia
Invisalign Doctor
15 anos de experiênciaTratamento completoAcompanhamento próximo
A Dra. Juliana Flório possui 15 anos de experiência atuando como Ortodontista.
- Credenciada pela Invisalign há mais de 10 anos
- Especialista em Odontologia Miofuncional
- Capacitação para Laser de alta e baixa potência
- Membro da IALD
Capacitação em Periodontia
Flori Odontologia
- EndereçoRua Cayowaá, 759 - Perdizes São Paulo 05018-001 Brasil
- Emailatendimento@floriodontologia.com.br
- Telefone+55 11 98773-2576
Opiniões dos nossos pacientes
EXCELENTE Com base em 35 avaliações Publicado em Jony MarquesTrustindex verifica se a fonte original da avaliação é Google. Fiz uma limpeza hoje e o atendimento foi excelente. A Dra. Valéria foi muito atenciosa, explicou todo o procedimento com calma e me deixou muito à vontade. A clínica é bem estruturada e conta com tecnologias modernas que realmente potencializam os resultados. Recomendo!Publicado em Daniel NascimentoTrustindex verifica se a fonte original da avaliação é Google. Excelente ambiente, dr Valeria estomatologista muito boa profissional abordou minha situação de forma leve e muito segura dos procedimentos a serem realizados explicando cada passo do processo com muita clareza, o que me deu a certeza de que tudo daria certo.Publicado em Elaine CasemiroTrustindex verifica se a fonte original da avaliação é Google. Ótimo local! Ambiente aconchegante e acolhedor, com profissionais altamente qualificados e humanizados. Além disso, a limpeza é impecável — transmitindo cuidado e excelência em cada detalhe.Publicado em Gabriel TeixeiraTrustindex verifica se a fonte original da avaliação é Google. Ótimos profissionais, atendimento top e um espaço bonito e agradável. Simplesmente sensacional. Super recomendo!Publicado em Regiana MartinaTrustindex verifica se a fonte original da avaliação é Google. A dra Juliana e o dr André são excelentes profissionais e também muito humanos no trato com os clientes. A minha mãe, com 94 anos, está sendo tratada pela dra Juliana, que conseguiu melhorar em muito a saúde bucal dela, o que outros dentistas , no passado, não conseguiram. Já o dr André me proporcionou uma melhora significativa, ao longo do meu tratamento, tanto na parte estrutural quanto na parte estética dos meus dentes. A clínica também possui uma estrutura excelente e o custo é facilitado. Só posso agradecer muito à dra Juliana e ao dr André por tudo que fizeram por mim e pela minha mãe!Publicado em Lucas SousaTrustindex verifica se a fonte original da avaliação é Google. Clínica super preparada e profissionais simpáticos!Publicado em Aline Cristina Dias Da PublicaçãoTrustindex verifica se a fonte original da avaliação é Google. Equipe muito atenciosa, respeitosas! Entendeu totalmente minhas críticas. Super atendimento!Certificado: TrustindexO selo verificado do Trustindex é o Símbolo Universal de Confiança. Apenas as melhores empresas podem obter o selo verificado que tem uma pontuação de avaliação acima de 4.5, com base nas avaliações dos clientes nos últimos 12 meses. Leia mais