Você já se olhou no espelho e sentiu que seus dentes parecem curtos demais? Ou talvez, ao sorrir, você mostre mais gengiva do que gostaria? Esse problema, conhecido como sorriso gengival, é mais comum do que se imagina e pode afetar a autoestima de muitas pessoas. A boa notícia é que existe um procedimento seguro e eficaz para corrigir essa condição: o aumento de coroa clínica. Este procedimento periodontal, realizado por especialistas, não só transforma a estética do sorriso, mas também é fundamental em diversas situações funcionais, como na preparação para a colocação de próteses e restaurações.
Na Flori Odontologia, em Perdizes, São Paulo, somos especialistas em harmonizar sorrisos e devolver a saúde bucal com tecnologia de ponta, como o laser de alta potência, que torna o procedimento mais confortável e a recuperação mais rápida.
O Que é Aumento de Coroa Clínica?
O aumento de coroa clínica é um procedimento cirúrgico periodontal que tem como objetivo aumentar a área visível do dente acima da gengiva. Em termos simples, ele remove o excesso de tecido gengival e, quando necessário, remodela o osso ao redor do dente para expor uma maior porção da sua estrutura natural.
Este procedimento é realizado para restabelecer o contorno e a proporção correta entre dentes, gengiva e lábios, resultando em um sorriso mais harmônico e equilibrado. Embora o nome possa parecer complexo, a cirurgia é segura, previsível e realizada no próprio consultório odontológico sob anestesia local.
É importante diferenciar o aumento de coroa clínica de outros procedimentos similares:
- Gengivectomia: Remoção apenas do excesso de tecido gengival.
- Gengivoplastia: Remodelação do contorno da gengiva para fins estéticos.
Frequentemente, esses procedimentos são realizados em conjunto durante o aumento de coroa clínica para alcançar o resultado ideal.
Quando o Aumento de Coroa Clínica é Indicado?
As indicações para o aumento de coroa clínica são divididas em duas categorias principais: estéticas e funcionais. Ambas visam melhorar não apenas a aparência do sorriso, mas também a saúde e a longevidade dos dentes.
Sorriso Gengival: A Indicação Estética Mais Comum
A principal indicação estética para o aumento de coroa clínica é a correção do sorriso gengival. Essa condição ocorre quando uma faixa excessiva de gengiva fica aparente ao sorrir, fazendo com que os dentes pareçam desproporcionalmente pequenos.
O procedimento é indicado para:
- Corrigir o sorriso gengival: Reduz a exposição da gengiva, criando um sorriso mais equilibrado.
- Harmonizar o contorno gengival: Alinha a altura das gengivas, especialmente quando há assimetria.
- Aumentar o tamanho aparente dos dentes: Ideal para pacientes que sentem que seus dentes são “curtos” ou “quadrados”.
Indicações Funcionais: Preparação para Próteses e Restaurações
Além da estética, o aumento de coroa clínica é um passo fundamental para viabilizar outros tratamentos odontológicos. Ele é essencial quando não há estrutura dentária suficiente acima da gengiva para suportar uma restauração ou prótese.
As indicações funcionais incluem:
- Cáries extensas: Quando uma cárie avança para uma área abaixo da linha da gengiva, o procedimento expõe a área afetada para que o dentista possa removê-la completamente e realizar a restauração.
- Fraturas dentárias: Se um dente quebra próximo ou abaixo da gengiva, o aumento de coroa expõe a linha de fratura, permitindo que o dente seja restaurado adequadamente.
- Preparação para coroas e próteses: Para que uma coroa (ou “jaqueta”) tenha retenção e estabilidade, ela precisa “abraçar” uma certa altura de dente. Se não houver estrutura suficiente, o aumento de coroa cria o espaço necessário.
- Invasão do espaço biológico: Restaurações ou próteses muito próximas ao osso podem causar inflamação crônica na gengiva. A cirurgia restabelece a distância correta, garantindo a saúde periodontal.
Como é Realizado o Procedimento de Aumento de Coroa Clínica?
O procedimento é meticulosamente planejado para garantir resultados precisos e seguros. Na Flori Odontologia, seguimos um protocolo rigoroso que combina tecnologia a Laser e expertise clínica.
Passo a Passo do Procedimento
- Planejamento Detalhado: A primeira etapa é uma avaliação completa, que inclui exames clínicos, radiográficos e fotografias. Em casos estéticos, podemos utilizar o Planejamento Digital do Sorriso (DSD) para simular o resultado final e definir com precisão a quantidade de tecido a ser removido.
- Anestesia Local: O procedimento é totalmente indolor. Aplicamos anestesia local na região a ser tratada, garantindo o conforto total do paciente durante toda a cirurgia.
- Remoção do Tecido Gengival: Com o auxílio do laser de alta potência, o periodontista remove o excesso de gengiva, seguindo o planejamento previamente definido.
- Osteotomia (Remodelação Óssea): Em muitos casos, especialmente na correção de sorriso gengival, é necessário remover também uma pequena porção do osso que contorna o dente. Este passo é crucial para garantir que o resultado seja estável e que a gengiva não “cresça” de volta. A osteotomia é realizada com instrumentos delicados para remodelar o osso e criar a distância biológica adequada.
- Sutura e Finalização: Ao final, a gengiva é reposicionada e, se necessário, são realizados pequenos pontos de sutura para garantir uma cicatrização perfeita. Em alguns casos, um cimento cirúrgico pode ser aplicado para proteger a área.
Quanto tempo dura o procedimento?
O procedimento pode durar de 30 minutos a 2 horas, dependendo do número de dentes envolvidos e da complexidade do caso.
|
Característica
|
Gengivectomia Simples
|
Aumento de Coroa com Osteotomia
|
|
Indicação
|
Excesso de gengiva sem excesso ósseo
|
Sorriso gengival, indicações funcionais
|
|
Procedimento
|
Remove apenas gengiva
|
Remove gengiva e remodela o osso
|
|
Invasividade
|
Menor
|
Maior
|
|
Recuperação
|
Mais rápida (1-2 semanas)
|
Mais longa (3-4 semanas)
|
|
Estabilidade
|
Risco de recidiva
|
Resultado mais estável e definitivo
|
Recuperação e Cuidados Pós-Operatórios
A recuperação do aumento de coroa clínica é geralmente tranquila, especialmente quando o procedimento é realizado com laser. É normal sentir um leve desconforto e inchaço nos primeiros dias, que são facilmente controlados com a medicação prescrita.
- Primeiras 48 horas: Aplique compressas frias na região, evite alimentos quentes e duros, e não faça bochechos vigorosos.
- Primeira semana: Mantenha uma dieta pastosa ou líquida, realize a higiene bucal com uma escova de cerdas extramacias e utilize o enxaguante antisséptico recomendado pelo seu dentista. Evite esforço físico.
- 7 a 14 dias: Retorno à clínica para remover os pontos (se houver) e para uma avaliação da cicatrização.
- 3 a 6 meses: A gengiva atinge sua posição final e maturação completa. Este é o momento ideal para iniciar tratamentos restauradores, como a confecção de facetas ou coroas de porcelana.
Uso de Laser para Melhor Cicatrização
Na Flori Odontologia, investimos em tecnologia para proporcionar o máximo de conforto e os melhores resultados para nossos pacientes. O uso do laser de alta potência no aumento de coroa clínica é um dos nossos grandes diferenciais.
Vantagens do Laser:
- Menos Sangramento: O laser cauteriza os vasos sanguíneos durante o corte, proporcionando um campo operatório limpo.
- Recuperação Mais Rápida: A bioestimulação do laser acelera a regeneração dos tecidos.
- Menos Dor e Inchaço: O procedimento é menos traumático para os tecidos, resultando em um pós-operatório mais confortável.
- Maior Precisão: Permite um contorno gengival mais preciso e delicado.
- Efeito Bactericida: Reduz o risco de infecções.
Na Flori Odontologia, utilizamos laser de alta potência para uma recuperação mais rápida e confortável. Conheça nossa clínica na Rua Cayowaá, 759 – Perdizes.
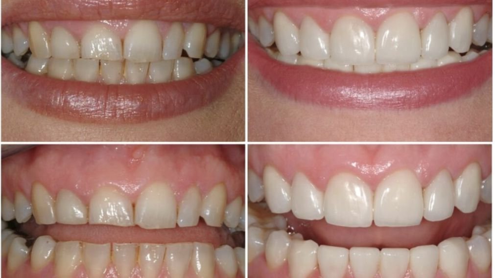
Resultados: Antes e Depois do Aumento de Coroa Clínica
Os resultados do aumento de coroa clínica são transformadores e permanentes. Pacientes que corrigem o sorriso gengival relatam um ganho imenso na autoestima e na confiança ao sorrir. Nos casos funcionais, o procedimento permite a reabilitação de dentes que, de outra forma, poderiam ser perdidos.



Gengivoplastiaantesedepois1
Gengivoplastiaantesedepois3
Gengivoplastiaantesedepois2

Quanto Custa um Aumento de Coroa Clínica?
O valor do investimento em um aumento de coroa clínica pode variar consideravelmente, pois depende de diversos fatores. É fundamental passar por uma avaliação com um especialista para obter um orçamento preciso.
Fatores que influenciam o preço:
- Número de dentes: O valor é geralmente calculado por dente ou por segmento (grupo de dentes).
- Complexidade: A necessidade de remodelação óssea (osteotomia) torna o procedimento mais complexo e, portanto, mais caro que uma simples gengivectomia.
- Tecnologia utilizada: O uso de laser pode ter um custo adicional, mas os benefícios no pós-operatório compensam o investimento.
- Finalidade: Procedimentos estéticos envolvendo múltiplos dentes podem ter um custo total maior.
Em São Paulo, a faixa de preço para um aumento de coroa clínica pode variar de R$400 a R$1.800 por dente. Para a correção de um sorriso gengival completo (envolvendo de 6 a 10 dentes), o investimento pode variar de R$4.000 a R$8.000.
Perguntas Frequentes sobre Aumento de Coroa Clínica
1. Aumento de coroa clínica dói?
Não. O procedimento é realizado sob anestesia local, sendo totalmente indolor. O pós-operatório pode apresentar um leve desconforto, que é facilmente controlado com analgésicos prescritos pelo dentista.
2. Quanto tempo dura a recuperação? A recuperação inicial leva de 7 a 14 dias.
No entanto, a maturação completa da gengiva, para que ela atinja sua posição final, pode levar de 3 a 6 meses. O uso de laser acelera significativamente este processo.
3. Qual a diferença entre gengivectomia e gengivoplastia?
A gengivectomia remove o excesso de tecido gengival, enquanto a gengivoplastia apenas remodela o seu contorno. Muitas vezes, os dois procedimentos são feitos juntos no aumento de coroa clínica.
4. O resultado é permanente?
Sim. Quando o procedimento é bem planejado e executado, especialmente quando inclui a remodelação óssea, os resultados são estáveis e permanentes. A gengiva não volta a crescer.
5. Posso fazer aumento de coroa clínica e colocar facetas depois?
Sim, e essa é uma combinação muito comum. O aumento de coroa cria o espaço e o contorno gengival ideal para que as facetas de porcelana ou lentes de contato dental tenham um resultado estético perfeito.
6. Quanto custa um aumento de coroa clínica em São Paulo?
O valor pode variar de R$ 400 a R$ 1.800 por dente, dependendo da complexidade. Uma avaliação com um especialista é essencial para um orçamento preciso.
7. O laser realmente faz diferença na recuperação?
Sim. O laser promove uma cicatrização mais rápida, com menos dor, inchaço e sangramento. É uma tecnologia que agrega muito conforto e segurança ao procedimento.
8. Preciso fazer em todos os dentes ou só nos da frente?
Depende da indicação. Para correção de sorriso gengival, geralmente são envolvidos de 6 a 10 dentes anteriores (de pré-molar a pré-molar) para um resultado mais natural. Para fins funcionais, o procedimento pode ser feito em apenas um dente.
9. Meu plano odontológico cobre aumento de coroa clínica?
A maioria dos planos odontológicos cobre o procedimento quando ele tem finalidade funcional (preparação para prótese, por exemplo). Procedimentos com finalidade puramente estética geralmente não são cobertos. Nossa equipe pode auxiliá-lo com a documentação para solicitação de reembolso.
10. Quanto tempo depois posso fazer a prótese/coroa?
Recomenda-se aguardar a maturação completa dos tecidos, o que leva de 3 a 6 meses. Fazer a prótese antes desse período pode resultar em um desajuste futuro, pois a gengiva ainda pode sofrer pequenas alterações em sua posição.
Por Que Escolher a Flori Odontologia para Seu Tratamento?
Escolher o profissional certo é o passo mais importante para o sucesso do seu tratamento. Na Flori Odontologia, em Perdizes, você encontra:
- Especialistas em Periodontia: Nossa equipe é altamente qualificada e experiente em cirurgias gengivais.
- Tecnologia de Ponta: Utilizamos laser de alta potência para garantir mais conforto, precisão e uma recuperação mais rápida.
- Planejamento Digital: Empregamos as mais modernas ferramentas de planejamento para garantir resultados previsíveis e harmoniosos.
- Atendimento Humanizado: Cuidamos de cada paciente de forma individualizada, entendendo suas necessidades e expectativas.
Pronto para transformar seu sorriso? Entre em contato e descubra como o aumento de coroa clínica pode ajudar você. Atendemos em Perdizes, São Paulo.
Periodontistas experientes para atender os casos mais complexos
Expertise sólida, construída sobre uma base acadêmica de alto nível.
Opiniões dos nossos pacientes
EXCELENTE Com base em 31 avaliações Publicado em Regiana MartinaTrustindex verifica se a fonte original da avaliação é Google. A dra Juliana e o dr André são excelentes profissionais e também muito humanos no trato com os clientes. A minha mãe, com 94 anos, está sendo tratada pela dra Juliana, que conseguiu melhorar em muito a saúde bucal dela, o que outros dentistas , no passado, não conseguiram. Já o dr André me proporcionou uma melhora significativa, ao longo do meu tratamento, tanto na parte estrutural quanto na parte estética dos meus dentes. A clínica também possui uma estrutura excelente e o custo é facilitado. Só posso agradecer muito à dra Juliana e ao dr André por tudo que fizeram por mim e pela minha mãe!Publicado em Lucas SousaTrustindex verifica se a fonte original da avaliação é Google. Clínica super preparada e profissionais simpáticos!Publicado em Aline Cristina Dias Da PublicaçãoTrustindex verifica se a fonte original da avaliação é Google. Equipe muito atenciosa, respeitosas! Entendeu totalmente minhas críticas. Super atendimento!Publicado em Carlos EduardoTrustindex verifica se a fonte original da avaliação é Google. Melhor clínica odontológica que já fui em Perdizes! Fiz a primeira consulta com a Estomatologista que foi ótima, foi bem objetiva e fez o encaminhamento para o tratamento de canal. O que gostei é que o tratamento é muito profissional, diferente das clínicas familiares que o Pai recomenda o tratamento com o Filho. O endodontista também foi muito profissional e resolveu tudo super rápido e sem dor nenhuma. A clínica possui uma decoração de ótimo gosto além de uma higiene impecável! Os preços estão bem em linha com os outros dentistas na região, mas no quesito qualidade eles estão muito bem.Publicado em Isabela SanchesTrustindex verifica se a fonte original da avaliação é Google. Dr. Juliana foi excelente com uma ferida que minha mãe possuía na boca! Identificou o problema rapidamente, nos tranquilizou e fez um tratamento que melhorou tudo imediatamente. Ela passou muita segurança e foi extremamente gentil. Dá para ver que é interessada e apaixonada pela profissão. Recomendo muito!Publicado em Taís MoraesTrustindex verifica se a fonte original da avaliação é Google. Ótimo atendimento!!Publicado em Fabio Victor Sales C.Trustindex verifica se a fonte original da avaliação é Google. Dra Juliana está de parabéns. Muito querida. Melhor consulta com dentista que já vi e, por consequência, melhor limpeza também. A clínica é linda e a profissional muito empática e habilidosa. Amei e voltarei.Certificado: TrustindexO selo verificado do Trustindex é o Símbolo Universal de Confiança. Apenas as melhores empresas podem obter o selo verificado que tem uma pontuação de avaliação acima de 4.5, com base nas avaliações dos clientes nos últimos 12 meses. Leia mais
Flori Odontologia
- EndereçoRua Cayowaá, 759 - Perdizes São Paulo 05018-001 Brasil
- Emailatendimento@floriodontologia.com.br
- Telefone+55 11 98773-2576






