Você investiu tempo, dinheiro e esperança em seus implantes dentários, esperando uma solução duradoura e confiável para a perda de dentes. No entanto, uma ameaça silenciosa pode colocar todo esse investimento em risco: a peri-implantite. Esta condição, uma inflamação agressiva que ataca os tecidos ao redor do implante, tornou-se uma das maiores preocupações da odontologia moderna. Estima-se que até 30% dos pacientes com implantes possam desenvolver a doença, muitas vezes sem perceber até que seja tarde demais 1.
O medo de perder um implante é real e justificado. A peri-implantite não apenas causa desconforto e problemas estéticos, mas pode levar à perda completa do implante se não for diagnosticada e tratada a tempo.
Na Flori Odontologia, em Perdizes, São Paulo, entendemos a importância de proteger seu sorriso e seu investimento. Por isso, criamos este guia completo para que você entenda o que é a peri-implantite, como reconhecer os sinais e, o mais importante, como tratá-la e preveni-la eficazmente. Agende uma avaliação periodontal na Flori Odontologia. Diagnóstico precoce salva seu implante! WhatsApp: (11) 98773-2576
O Que é Peri-implantite?
A peri-implantite é uma condição patológica inflamatória que afeta os tecidos moles (gengiva) e duros (osso) ao redor de um implante dentário osseointegrado, resultando em perda progressiva do osso de suporte. Em termos simples, é uma infecção que, se não controlada, destrói o osso que ancora o implante, levando à sua mobilidade e eventual perda. Diferente de uma infecção em um dente natural, que conta com um sistema de defesa mais robusto, a inflamação ao redor de um implante pode progredir de forma muito mais rápida e agressiva 2.
Com o aumento exponencial no número de implantes dentários realizados nas últimas décadas, a prevalência da peri-implantite tornou-se uma preocupação de saúde pública. A doença não apenas compromete a função mastigatória e a estética, mas também representa um desafio clínico significativo, exigindo intervenção especializada para salvar o implante.
Mucosite vs Peri-implantite: Entenda a Diferença
É fundamental distinguir a peri-implantite de sua fase precursora, a mucosite peri-implantar. Entender a diferença é a chave para a prevenção e o tratamento precoce.
O Alerta Precoce: Mucosite Peri-implantar
A mucosite peri-implantar é uma inflamação reversível que afeta apenas os tecidos moles (a gengiva) ao redor do implante. É o primeiro sinal de que algo não vai bem. Caracteriza-se por vermelhidão, inchaço e sangramento da gengiva ao redor do implante durante a escovação ou sondagem, mas ainda não há perda óssea. A mucosite é comparável à gengivite em dentes naturais e, se tratada adequadamente com a melhoria da higiene oral e limpeza profissional, pode ser completamente revertida.
A Progressão: Peri-implantite
Se a mucosite não for tratada, as bactérias continuam a se acumular, e a inflamação progride para o osso de suporte, dando início à peri-implantite. Nesta fase, a condição torna-se destrutiva e irreversível. Além dos sintomas da mucosite, a peri-implantite envolve a perda do osso que sustenta o implante, formando bolsas periodontais profundas e, em casos avançados, levando à exposição das roscas do implante e sua mobilidade.
|
Característica
|
Mucosite Peri-implantar
|
Peri-implantite
|
|
Tecido Afetado
|
Apenas gengiva (tecido mole)
|
Gengiva e osso (tecidos mole e duro)
|
|
Perda Óssea
|
Não
|
Sim, progressiva
|
|
Sintomas
|
Sangramento, vermelhidão, inchaço
|
Sangramento, supuração (pus), bolsas profundas, mobilidade
|
|
Reversibilidade
|
Sim, totalmente reversível
|
Não, a perda óssea é permanente
|
|
Tratamento
|
Higiene oral e limpeza profissional
|
Tratamento complexo (não-cirúrgico, cirúrgico, laser)
|
|
Comparação
|
Gengivite
|
Periodontite
|
Causas e Fatores de Risco da Peri-implantite
A principal causa da peri-implantite é o acúmulo de biofilme bacteriano (placa) na superfície do implante. No entanto, diversos fatores de risco aumentam a suscetibilidade de um paciente à doença.
Higiene Oral Inadequada
É a causa número um. A falha em limpar eficazmente a área ao redor do implante permite que as bactérias se multipliquem, levando à inflamação inicial (mucosite) e, posteriormente, à peri-implantite.
Histórico de Periodontite
Pacientes que perderam dentes devido à periodontite têm um risco significativamente maior de desenvolver peri-implantite, pois já possuem uma predisposição para doenças gengivais e podem abrigar as bactérias agressivas responsáveis pela condição 3.
Tabagismo
Fumar é um dos maiores fatores de risco. O tabaco compromete a circulação sanguínea na gengiva, mascara o sangramento (um sinal de alerta precoce), prejudica a resposta imune e dificulta a cicatrização, tornando o tratamento menos previsível.
Fatores Sistêmicos
Condições como diabetes não controlada aumentam drasticamente o risco e a severidade da peri-implantite. Outras doenças que afetam o sistema imunológico ou o metabolismo ósseo também podem influenciar.
Outros Fatores
- Prótese mal adaptada: Coroas ou pontes sobre implantes que não se ajustam perfeitamente podem criar nichos para acúmulo de placa.
- Excesso de cimento: Em próteses cimentadas, o cimento residual sob a gengiva pode causar uma forte reação inflamatória.
- Falta de manutenção profissional: Ausência de visitas regulares ao dentista para limpeza e avaliação impede o diagnóstico precoce.
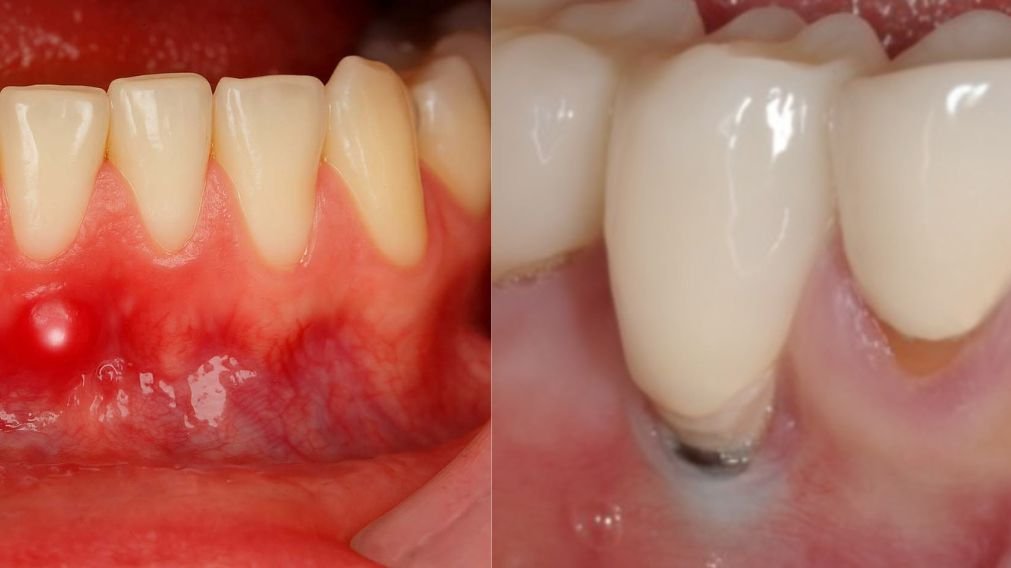
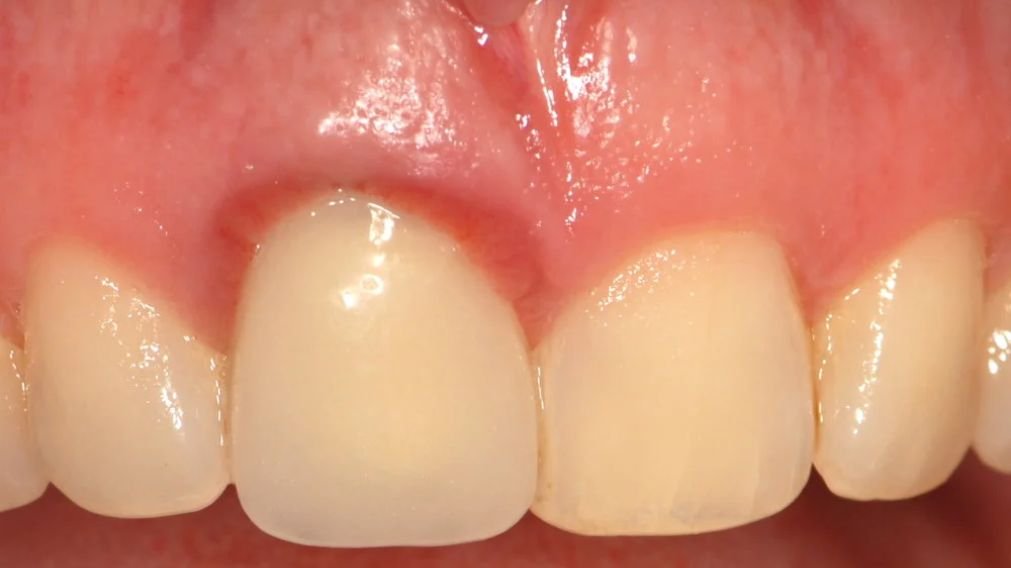
Sintomas que Indicam Problema no Seu Implante
Fique atento a estes sinais de alerta. Se você notar qualquer um deles, procure um especialista em periodontia imediatamente.
- Sangramento Gengival: Sangramento ao escovar, usar fio dental ou mesmo espontaneamente ao redor do implante.
- Gengiva Vermelha e Inchada: A gengiva ao redor do implante parece mais escura, inchada ou sensível ao toque.
- Supuração (Pus): Presença de um líquido amarelado (pus) ao pressionar a gengiva perto do implante.
- Mau Hálito ou Gosto Ruim: Halitose persistente que não melhora com a escovação.
- Retração Gengival: A gengiva parece estar encolhendo, expondo as partes metálicas do implante.
- Dor ou Desconforto: Embora menos comum nos estágios iniciais, a dor ao mastigar ou uma dor surda pode estar presente.
- Mobilidade do Implante: Qualquer sensação de que o implante ou a coroa está se movendo. Este é um sinal tardio e grave.
Gengiva vermelha e inchada ao redor de um implante é um sintoma clássico de inflamação peri-implantar.
Como é Feito o Diagnóstico da Peri-implantite?
O diagnóstico preciso é fundamental e deve ser realizado por um periodontista, o especialista em doenças gengivais.
Exame Clínico
O dentista realizará uma sondagem cuidadosa ao redor do implante para medir a profundidade da bolsa periodontal. Profundidades acima de 5mm, associadas a sangramento ou supuração, são indicativos de peri-implantite. A mobilidade do implante também é verificada.
Exames de Imagem
Radiografias periapicais e, em alguns casos, tomografias computadorizadas são essenciais para avaliar a quantidade de perda óssea ao redor do implante. A comparação de radiografias ao longo do tempo permite monitorar a progressão da doença.
Opções de Tratamento para Peri-implantite
O objetivo do tratamento é parar a progressão da doença, descontaminar a superfície do implante e, se possível, regenerar o osso perdido.
|
Estágio
|
Tratamento
|
Taxa de Sucesso
|
Tempo de Recuperação
|
|
Inicial (Mucosite)
|
Higiene oral + Limpeza profissional
|
> 90%
|
Imediata
|
|
Leve
|
Tratamento não-cirúrgico (raspagem)
|
50-70%
|
1-2 dias
|
|
Moderado
|
Tratamento cirúrgico + Laser
|
60-85%
|
7-14 dias
|
|
Avançado
|
Cirurgia regenerativa ou Remoção
|
40-60%
|
2-4 semanas
|
Tratamento Não-Cirúrgico
Para casos iniciais, o tratamento consiste na descontaminação da superfície do implante através de uma limpeza profunda (raspagem) com instrumentos especiais que não danificam o titânio, como curetas de plástico, carbono ou titânio, e jatos de bicarbonato. O uso de antibióticos locais pode ser associado.
Tratamento Cirúrgico
Em casos moderados a avançados, a cirurgia é necessária. O periodontista abre um retalho na gengiva para ter acesso visual direto à superfície do implante e ao defeito ósseo. Isso permite uma limpeza muito mais eficaz e a remoção de todo o tecido inflamado. Em alguns casos, a superfície do implante é polida (implantoplastia) para dificultar a adesão de novas bactérias.
Cirurgia Regenerativa
Após a descontaminação, o defeito ósseo pode ser preenchido com enxerto ósseo e coberto com membranas especiais (Regeneração Tecidual Guiada) para tentar regenerar o osso perdido e dar novo suporte ao implante.
Tratamento com Laser: O Diferencial da Flori Odontologia
Na Flori Odontologia, incorporamos a tecnologia de laser de alta potência no tratamento da peri-implantite, oferecendo uma abordagem mais moderna, eficaz e confortável para nossos pacientes em Perdizes.
O uso do laser no tratamento da peri-implantite permite uma descontaminação eficaz com mais conforto e recuperação mais rápida.
O protocolo LAPIP (Laser-Assisted Peri-Implantitis Procedure) é uma técnica minimamente invasiva que utiliza uma fibra óptica fina para alcançar o fundo da bolsa periodontal e tratar a infecção sem a necessidade de grandes incisões.
Vantagens do Tratamento com Laser:
- Descontaminação Superior: O laser é altamente eficaz em eliminar as bactérias da superfície do implante.
- Minimamente Invasivo: Geralmente não requer bisturi ou suturas.
- Menos Dor e Inchaço: Causa menos trauma aos tecidos, resultando em um pós-operatório mais confortável.
- Bioestimulação: A luz do laser estimula a cicatrização e pode ajudar na regeneração dos tecidos.
- Recuperação Rápida: O paciente pode retornar às suas atividades normais mais rapidamente.
Na Flori Odontologia, utilizamos laser de alta potência para tratar peri-implantite com mais eficácia e conforto. Conheça nossa clínica na Rua Cayowaá, 759 – Perdizes, São Paulo.
Como Prevenir a Peri-implantite?
Prevenir é sempre a melhor, mais barata e mais eficaz abordagem.
Higiene Oral Rigorosa
É a base de tudo. Utilize escovas interdentais, fio dental específico para implantes (como o Superfloss) e irrigadores orais (Waterpik) para limpar todas as superfícies do implante e da prótese.
Manutenção Periodontal Regular
A manutenção profissional é obrigatória para quem tem implantes. As visitas devem ocorrer a cada 3 a 6 meses, dependendo do seu risco individual. Nessas consultas, o dentista fará uma limpeza profissional e avaliará a saúde dos seus implantes.
A Importância do Acompanhamento Periodontal para Quem Tem Implantes
Um implante não é um dente natural. Ele não possui o ligamento periodontal, que funciona como um “amortecedor” e uma barreira de defesa. A união entre o implante e a gengiva é mais frágil, e a progressão da doença é muito mais rápida. Por isso, o acompanhamento com um periodontista não é um luxo, mas uma necessidade para garantir a longevidade do seu investimento. O custo de uma manutenção regular é infinitamente menor do que o custo de tratar uma peri-implantite ou, no pior cenário, perder e ter que refazer um implante.
Quando a Remoção do Implante é Necessária?
Infelizmente, em casos de peri-implantite muito avançada, com perda óssea superior a 50-60% e mobilidade, o tratamento para salvar o implante pode não ser mais viável. Nesses casos, a remoção do implante é a única opção para eliminar a infecção e permitir que a área cicatrize. Após um período de cicatrização e, muitas vezes, a necessidade de um novo enxerto ósseo, um novo implante pode ser planejado.
Proteger seus implantes é proteger seu sorriso e sua qualidade de vida. A peri-implantite é uma doença séria, mas com diagnóstico precoce, tratamento adequado e prevenção rigorosa, é possível manter seus implantes saudáveis por muitos e muitos anos.
Proteja seu investimento! Agende sua manutenção periodontal e previna a peri-implantite. Atendemos em Perdizes, São Paulo. Agende sua consulta!
Perguntas Frequentes sobre Peri-implantite
1. Peri-implantite tem cura?
A peri-implantite pode ser controlada e sua progressão interrompida, mas o osso perdido raramente é recuperado em sua totalidade. O objetivo do tratamento é estabilizar a condição e manter o implante em função. Por isso, o diagnóstico precoce é crucial.
2. Quanto tempo leva para desenvolver peri-implantite?
Não há um tempo fixo. Pode levar de meses a vários anos após a instalação do implante. Fatores como higiene, tabagismo e saúde geral influenciam muito a velocidade de progressão.
3. Posso perder meu implante por causa da peri-implantite?
Sim. Se não tratada, a peri-implantite leva à perda óssea contínua, resultando na mobilidade e eventual perda do implante. É a principal causa de falha tardia de implantes.
4. O tratamento de peri-implantite dói?
Não. Todos os procedimentos, sejam não-cirúrgicos ou cirúrgicos, são realizados sob anestesia local. O tratamento com laser é particularmente confortável, com um pós-operatório geralmente mais tranquilo.
5. Quanto custa o tratamento de peri-implantite?
O custo varia muito com a severidade. Um tratamento não-cirúrgico pode custar entre R$ 800 e R$ 2.000, enquanto uma cirurgia regenerativa com enxerto ósseo pode variar de R$ 3.000 a R$ 8.000 por implante. Prevenir com manutenções regulares (R$ 300-500) é muito mais econômico.
6. Fumantes têm mais risco de peri-implantite?
Sim, e o risco é muito maior. Fumantes têm de 3 a 4 vezes mais chances de desenvolver peri-implantite, e a resposta ao tratamento é significativamente pior.
7. Com que frequência devo fazer manutenção do implante?
Para pacientes de baixo risco, a cada 6 meses. Para pacientes com histórico de periodontite, fumantes ou com saúde sistêmica comprometida, a recomendação é a cada 3-4 meses.
8. O laser é melhor que a cirurgia tradicional?
O laser é uma ferramenta excelente e menos invasiva, com ótimos resultados na descontaminação e cicatrização, especialmente em casos moderados. Em casos muito avançados, a cirurgia tradicional com enxerto ósseo ainda pode ser necessária. A melhor abordagem é definida pelo especialista.
9. Posso colocar um novo implante se perder o atual?
Na maioria dos casos, sim. Após a remoção do implante comprometido e a eliminação da infecção, a área precisa cicatrizar. Frequentemente, é necessário um procedimento de enxerto ósseo para reconstruir o osso perdido antes que um novo implante possa ser instalado.
10. Como sei se meu implante está com peri-implantite?
O sinal mais comum que você pode notar em casa é o sangramento da gengiva ao redor do implante. Qualquer sangramento, inchaço ou desconforto não é normal e deve ser avaliado por um dentista especialista em periodontia o mais rápido possível.
Periodontistas experientes para atender os casos mais complexos
Expertise sólida, construída sobre uma base acadêmica de alto nível.
Opiniões dos nossos pacientes
EXCELENTE Com base em 31 avaliações Publicado em Regiana MartinaTrustindex verifica se a fonte original da avaliação é Google. A dra Juliana e o dr André são excelentes profissionais e também muito humanos no trato com os clientes. A minha mãe, com 94 anos, está sendo tratada pela dra Juliana, que conseguiu melhorar em muito a saúde bucal dela, o que outros dentistas , no passado, não conseguiram. Já o dr André me proporcionou uma melhora significativa, ao longo do meu tratamento, tanto na parte estrutural quanto na parte estética dos meus dentes. A clínica também possui uma estrutura excelente e o custo é facilitado. Só posso agradecer muito à dra Juliana e ao dr André por tudo que fizeram por mim e pela minha mãe!Publicado em Lucas SousaTrustindex verifica se a fonte original da avaliação é Google. Clínica super preparada e profissionais simpáticos!Publicado em Aline Cristina Dias Da PublicaçãoTrustindex verifica se a fonte original da avaliação é Google. Equipe muito atenciosa, respeitosas! Entendeu totalmente minhas críticas. Super atendimento!Publicado em Carlos EduardoTrustindex verifica se a fonte original da avaliação é Google. Melhor clínica odontológica que já fui em Perdizes! Fiz a primeira consulta com a Estomatologista que foi ótima, foi bem objetiva e fez o encaminhamento para o tratamento de canal. O que gostei é que o tratamento é muito profissional, diferente das clínicas familiares que o Pai recomenda o tratamento com o Filho. O endodontista também foi muito profissional e resolveu tudo super rápido e sem dor nenhuma. A clínica possui uma decoração de ótimo gosto além de uma higiene impecável! Os preços estão bem em linha com os outros dentistas na região, mas no quesito qualidade eles estão muito bem.Publicado em Isabela SanchesTrustindex verifica se a fonte original da avaliação é Google. Dr. Juliana foi excelente com uma ferida que minha mãe possuía na boca! Identificou o problema rapidamente, nos tranquilizou e fez um tratamento que melhorou tudo imediatamente. Ela passou muita segurança e foi extremamente gentil. Dá para ver que é interessada e apaixonada pela profissão. Recomendo muito!Publicado em Taís MoraesTrustindex verifica se a fonte original da avaliação é Google. Ótimo atendimento!!Publicado em Fabio Victor Sales C.Trustindex verifica se a fonte original da avaliação é Google. Dra Juliana está de parabéns. Muito querida. Melhor consulta com dentista que já vi e, por consequência, melhor limpeza também. A clínica é linda e a profissional muito empática e habilidosa. Amei e voltarei.Certificado: TrustindexO selo verificado do Trustindex é o Símbolo Universal de Confiança. Apenas as melhores empresas podem obter o selo verificado que tem uma pontuação de avaliação acima de 4.5, com base nas avaliações dos clientes nos últimos 12 meses. Leia mais
Flori Odontologia
- EndereçoRua Cayowaá, 759 - Perdizes São Paulo 05018-001 Brasil
- Emailatendimento@floriodontologia.com.br
- Telefone+55 11 98773-2576






