
Você já notou uma pequena bolha no lábio, geralmente na parte interna, que parece inofensiva mas simplesmente não desaparece? Essa pequena lesão, que pode ser transparente ou azulada, é uma queixa comum nos consultórios odontológicos e, na maioria das vezes, trata-se de uma mucocele, também conhecida como cisto mucoso. Embora seja uma condição benigna, a sua persistência pode gerar desconforto estético e funcional, além de muita preocupação.
O que é Mucocele? (E por que não é Herpes!)

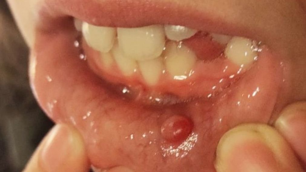
- Aparência: Uma bolha de superfície lisa, macia e flutuante.
- Cor: Geralmente transparente, podendo ter uma tonalidade azulada se o acúmulo de saliva for mais profundo.
- Localização: Mais comum no lábio inferior, mas pode aparecer na parte interna das bochechas, na língua ou no céu da boca.
- Sintomas: Normalmente é indolor, a menos que sofra algum trauma ou inflame.
Por que a Bolha no Lábio Aparece? As Principais Causas da Mucocele
- Morder os Lábios: O hábito repetitivo de morder ou sugar o lábio inferior é a causa número um.
- Pancadas na Boca: Um golpe acidental durante a prática de esportes ou uma queda pode romper um ducto salivar.
- Aparelhos Ortodônticos: O atrito dos bráquetes com a mucosa pode causar microtraumas que levam à formação da mucocele.
- Piercings: A perfuração e o atrito constante do piercing podem danificar as glândulas salivares.
- Obstrução do Ducto: Em casos mais raros, o ducto pode ser bloqueado por um pequeno cálculo salivar (sialólito), impedindo a drenagem da saliva.
Quando Procurar um Especialista?
- Persistir por mais de duas semanas.
- Aumentar de tamanho progressivamente.
- Causar desconforto para falar ou comer.
- Tiver uma aparência atípica (endurecida, com mudança de cor ou sangramento).
Tratamentos para Mucocele: Cirurgia Convencional vs. Remoção a Laser

As 5 Vantagens da Remoção de Mucocele a Laser

- Procedimento Rápido e Preciso: O laser permite uma remoção extremamente precisa da lesão, preservando o tecido saudável ao redor.
- Mínimo Sangramento: A energia do laser coagula os vasos sanguíneos instantaneamente, proporcionando um campo operatório limpo e seguro.
- Sem Necessidade de Pontos: Na maioria dos casos, a cicatrização ocorre por segunda intenção, eliminando o desconforto dos pontos na boca.
- Pós-Operatório Mais Confortável: Como o laser tem efeito analgésico e anti-inflamatório, o paciente experimenta menos dor e inchaço após o procedimento.
- Menor Risco de Recorrência: A precisão do laser garante a remoção completa da glândula afetada, diminuindo significativamente as chances de a mucocele voltar.
Como é a Remoção de Mucocele a Laser na Flori Odontologia?
- Anestesia Local: Uma pequena quantidade de anestésico local é aplicada para garantir conforto total durante o procedimento.
- Remoção com Laser: Com o uso de óculos de proteção, o laser de alta potência é utilizado para remover a lesão e a glândula salivar associada de forma precisa e segura.
- Finalização: A área é limpa e o paciente recebe as orientações pós-operatórias. O procedimento todo leva cerca de 15 minutos.
Cuidados Pós-Operatórios e Recuperação
- Evitar alimentos quentes, duros ou ácidos nas primeiras 48 horas.
- Manter uma higiene bucal suave na região.
- Evitar atividades físicas intensas por 2 a 3 dias.
- A cicatrização completa ocorre em poucos dias, sem a necessidade de remover pontos.
Perguntas Frequentes (FAQ)
1. Se eu estourar a mucocele, ela some?
2. A remoção de mucocele a laser dói?
3. Quanto tempo demora para a boca cicatrizar após a remoção a laser?
4. Crianças podem remover mucocele com laser?
5. A mucocele pode virar câncer?
Diga Adeus à Bolha no Lábio com Segurança e Tecnologia

Estomatologista experiente para atender os casos mais complexos
Expertise sólida, construída sobre uma base acadêmica de alto nível.
A Dra. Valéria Mena é Graduada em Odontologia pela Universidade Cidade de São Paulo e possui mais de 30 anos de experiência na área. Fez pós-graduação em Estomatologia e Oncologia e conta com curso de extensão em Câncer de Boca pela UNICAMP. Foi Docente de Semiologia e Patologia Bucal na Universidade São Francisco e conta com Habilitação para Laserterapia e Laser de Alta Potência.
Estomatologista experiente para atender os casos mais complexos
Expertise sólida, construída sobre uma base acadêmica de alto nível.
A Dra. Valéria Mena é Graduada em Odontologia pela Universidade Cidade de São Paulo e possui mais de 30 anos de experiência na área. Fez pós-graduação em Estomatologia e Oncologia e conta com curso de extensão em Câncer de Boca pela UNICAMP. Foi Docente de Semiologia e Patologia Bucal na Universidade São Francisco e conta com Habilitação para Laserterapia e Laser de Alta Potência.
Opiniões dos nossos pacientes
EXCELENTE Com base em 35 avaliações Publicado em Jony MarquesTrustindex verifica se a fonte original da avaliação é Google. Fiz uma limpeza hoje e o atendimento foi excelente. A Dra. Valéria foi muito atenciosa, explicou todo o procedimento com calma e me deixou muito à vontade. A clínica é bem estruturada e conta com tecnologias modernas que realmente potencializam os resultados. Recomendo!Publicado em Daniel NascimentoTrustindex verifica se a fonte original da avaliação é Google. Excelente ambiente, dr Valeria estomatologista muito boa profissional abordou minha situação de forma leve e muito segura dos procedimentos a serem realizados explicando cada passo do processo com muita clareza, o que me deu a certeza de que tudo daria certo.Publicado em Elaine CasemiroTrustindex verifica se a fonte original da avaliação é Google. Ótimo local! Ambiente aconchegante e acolhedor, com profissionais altamente qualificados e humanizados. Além disso, a limpeza é impecável — transmitindo cuidado e excelência em cada detalhe.Publicado em Gabriel TeixeiraTrustindex verifica se a fonte original da avaliação é Google. Ótimos profissionais, atendimento top e um espaço bonito e agradável. Simplesmente sensacional. Super recomendo!Publicado em Regiana MartinaTrustindex verifica se a fonte original da avaliação é Google. A dra Juliana e o dr André são excelentes profissionais e também muito humanos no trato com os clientes. A minha mãe, com 94 anos, está sendo tratada pela dra Juliana, que conseguiu melhorar em muito a saúde bucal dela, o que outros dentistas , no passado, não conseguiram. Já o dr André me proporcionou uma melhora significativa, ao longo do meu tratamento, tanto na parte estrutural quanto na parte estética dos meus dentes. A clínica também possui uma estrutura excelente e o custo é facilitado. Só posso agradecer muito à dra Juliana e ao dr André por tudo que fizeram por mim e pela minha mãe!Publicado em Lucas SousaTrustindex verifica se a fonte original da avaliação é Google. Clínica super preparada e profissionais simpáticos!Publicado em Aline Cristina Dias Da PublicaçãoTrustindex verifica se a fonte original da avaliação é Google. Equipe muito atenciosa, respeitosas! Entendeu totalmente minhas críticas. Super atendimento!Certificado: TrustindexO selo verificado do Trustindex é o Símbolo Universal de Confiança. Apenas as melhores empresas podem obter o selo verificado que tem uma pontuação de avaliação acima de 4.5, com base nas avaliações dos clientes nos últimos 12 meses. Leia mais
Flori Odontologia
- EndereçoRua Cayowaá, 759 - Perdizes São Paulo 05018-001 Brasil
- Emailatendimento@floriodontologia.com.br
- Telefone+55 11 98773-2576
