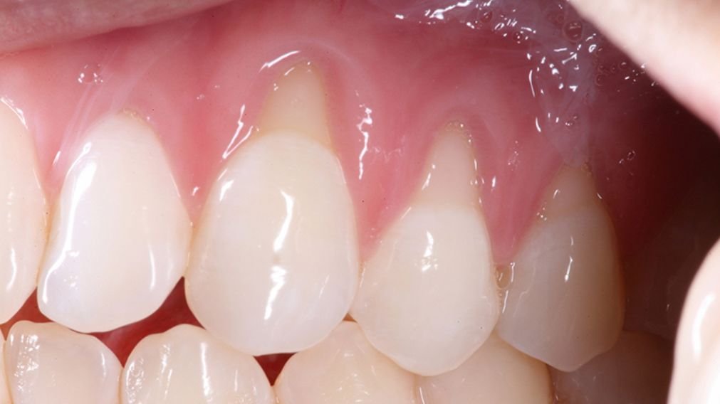
A retração gengival é um problema que vai além da estética, podendo causar sensibilidade nos dentes e aumentar o risco de problemas periodontais. Se você notou suas gengivas diminuindo e a raiz dos dentes ficando mais exposta, o enxerto gengival pode ser a solução. Este procedimento cirúrgico, realizado por um periodontista, visa restaurar a saúde e a aparência do seu sorriso. Neste guia completo, vamos detalhar como é feito o enxerto de gengiva, desde a preparação até a recuperação, para que você entenda tudo sobre o tratamento.
O que é o Enxerto de Gengiva?
O enxerto de gengiva é um procedimento cirúrgico que consiste na remoção de um pequeno fragmento de tecido, geralmente do palato (céu da boca), para cobrir uma área onde a gengiva se retraiu, deixando a raiz do dente exposta. O principal objetivo é proteger a raiz contra cáries, diminuir a sensibilidade dentária e melhorar a estética do sorriso.
Quando o Enxerto Gengival é Indicado?
A indicação mais comum para o enxerto gengival é a retração gengival. No entanto, o procedimento também é recomendado em outras situações para garantir a saúde bucal e a harmonia do sorriso.
As principais indicações incluem:
- Cobrir raízes dentárias expostas: A exposição da raiz pode causar dor, sensibilidade e um aspecto alongado aos dentes.
- Prevenir a progressão da retração: Em pacientes com gengivas finas e delicadas, o enxerto pode prevenir o avanço da recessão.
- Melhorar a estética de implantes e próteses: O enxerto pode ser usado para criar um contorno gengival mais natural ao redor de implantes dentários e próteses fixas.
- Corrigir gengivas escurecidas: Em alguns casos, o metal de próteses ou implantes pode deixar a gengiva com uma tonalidade acinzentada, que pode ser corrigida com o enxerto.
Existem diferentes fontes para o tecido a ser enxertado, e a escolha depende da necessidade de cada paciente, da complexidade do caso e da preferência do profissional. As técnicas mais comuns utilizam tecido do próprio paciente (autógeno), de um banco de tecidos humanos (alógeno) ou de origem animal (xenógeno).
|
Tipo de Enxerto
|
Fonte do Tecido
|
Vantagens
|
Desvantagens
|
|
Autógeno
|
Do próprio paciente (geralmente do palato)
|
Alta biocompatibilidade, resultados previsíveis.
|
Requer um segundo sítio cirúrgico, o que pode gerar mais desconforto no pós-operatório.
|
|
Alógeno
|
Banco de tecidos humanos
|
Não necessita de um segundo sítio cirúrgico no paciente.
|
Custo mais elevado, requer análise de compatibilidade.
|
|
Xenógeno
|
Origem animal (suína ou bovina)
|
Elimina a necessidade de cirurgia no palato, reduzindo o desconforto.
|
Custo elevado, resultados podem ser menos previsíveis em casos complexos.
|
Como é Feito o Enxerto de Gengiva: Passo a Passo
O procedimento de enxerto de gengiva é delicado e realizado em consultório odontológico, seguindo etapas rigorosas para garantir o sucesso do tratamento.
1. Avaliação e Planejamento
Antes da cirurgia, o periodontista realiza uma avaliação completa da sua saúde bucal. Exames de imagem, como radiografias, podem ser solicitados para analisar a estrutura óssea. É fundamental que a boca esteja livre de inflamações, como gengivite, antes do procedimento.
2. O Procedimento Cirúrgico
A cirurgia é realizada com anestesia local. O periodontista prepara a área receptora, criando um pequeno leito para receber o enxerto. Em seguida, se a opção for por um enxerto autógeno, um pequeno pedaço de tecido é removido do palato. Este tecido é então cuidadosamente posicionado e suturado na área da retração.
Após a sutura, o paciente recebe todas as orientações para os cuidados pós-operatórios. É comum a prescrição de anti-inflamatórios, analgésicos e, em alguns casos, antibióticos para prevenir infecções e controlar o desconforto. 1
Recuperação Pós-Operatória: Uma Jornada para o Sucesso do seu Enxerto Gengival
O sucesso do enxerto de gengiva depende diretamente dos cuidados do paciente durante o período de cicatrização, que dura em média de 4 a 8 semanas. 1 Seguir as orientações do seu dentista é crucial para garantir que o tecido enxertado se integre perfeitamente e os resultados sejam duradouros.
Cuidados Essenciais para uma Recuperação Tranquila
- Dieta Adequada: Nos primeiros dias (24 a 48 horas), a alimentação deve ser exclusivamente líquida ou pastosa e fria. Sopas, vitaminas, iogurtes e sorvetes são ótimas opções. Alimentos quentes devem ser evitados, pois podem causar sangramento. Após esse período, a dieta pode progredir para alimentos mais macios, evitando sempre mastigar sobre a área operada.
- Higiene Bucal Delicada: A higienização é fundamental para prevenir infecções. No entanto, a área do enxerto não deve ser escovada nas primeiras duas semanas. A limpeza será feita com bochechos de antissépticos prescritos pelo seu dentista, como a clorexidina. O restante da boca deve ser higienizado normalmente.
- Repouso é Fundamental: Evite atividades físicas intensas, como corridas e musculação, por pelo menos uma semana. O repouso ajuda a evitar o aumento da pressão sanguínea, que pode levar a sangramentos e deslocamento do enxerto.
- Medicação Conforme a Prescrição: Tome os analgésicos, anti-inflamatórios e antibióticos exatamente como prescrito pelo seu periodontista. Eles são essenciais para controlar a dor, o inchaço e prevenir infecções.
- Evite Fumar e Beber: O cigarro é um dos maiores inimigos da cicatrização, diminuindo a oxigenação dos tecidos e aumentando drasticamente o risco de necrose e perda do enxerto. Bebidas alcoólicas também devem ser evitadas, pois podem interferir na medicação.
O Diferencial da Flori Odontologia na sua Recuperação
Na Flori Odontologia, entendemos que um pós-operatório tranquilo é tão importante quanto a excelência na cirurgia. Por isso, oferecemos um acompanhamento diferenciado para acelerar sua recuperação e maximizar os resultados do seu enxerto de gengiva.
- Laserterapia de Baixa Intensidade: Utilizamos a tecnologia do laser terapêutico para acelerar a cicatrização, reduzir a dor e o inchaço. A laserterapia tem efeito anti-inflamatório e analgésico, proporcionando um pós-operatório muito mais confortável e rápido. As sessões são indolores e realizadas no próprio consultório.
- Acompanhamento Próximo: Nossa equipe realiza um acompanhamento próximo nos dias seguintes à cirurgia, garantindo que sua recuperação esteja progredindo como esperado e esclarecendo qualquer dúvida que possa surgir. Esse cuidado contínuo é essencial para o sucesso a longo prazo do seu tratamento.
Resultados: O que Esperar do Enxerto de Gengiva?
Após o período de cicatrização, os resultados são notáveis. A gengiva adquire uma aparência mais saudável e volumosa, cobrindo a raiz que antes estava exposta. A sensibilidade diminui drasticamente e o sorriso ganha uma nova harmonia.
Embora seja um procedimento seguro e com altas taxas de sucesso, existem riscos, como em qualquer cirurgia. Infecções, necrose ou perda do enxerto são complicações raras, mas podem ocorrer, principalmente se os cuidados pós-operatórios não forem seguidos corretamente. A escolha de um profissional qualificado e experiente em Periodontia é fundamental para minimizar esses riscos.
Qual o Preço do Enxerto Gengival?
Uma das principais dúvidas dos pacientes diz respeito ao custo do procedimento. É importante ressaltar que o valor do enxerto de gengiva pode variar consideravelmente dependendo de diversos fatores.
Os principais elementos que influenciam o preço final são:
- A técnica utilizada: Enxertos que utilizam materiais sintéticos (xenógenos) ou de banco de tecidos (alógenos) tendem a ser mais caros do que o enxerto autógeno, que utiliza tecido do próprio paciente.
- A extensão da área a ser tratada: O valor é frequentemente calculado por dente ou por segmento da arcada dentária. Quanto maior a área de retração, maior o custo.
- A complexidade do caso: Casos mais severos de retração gengival podem exigir técnicas mais complexas e, consequentemente, um investimento maior.
- A localização e o profissional: Os honorários do periodontista e os custos da clínica variam de acordo com a cidade e a reputação do profissional.
De forma geral, a média de preço para um enxerto gengival em São Paulo pode variar de R$ 800 a R$ 2.500 por dente. No entanto, este é apenas um valor de referência. A melhor forma de saber o custo exato para o seu caso é agendando uma avaliação com um especialista em periodontia, que poderá fornecer um orçamento detalhado após analisar suas necessidades específicas.
Perguntas Frequentes (FAQ) sobre Enxerto de Gengiva
Reunimos aqui as dúvidas mais comuns sobre o procedimento para que você tenha todas as informações necessárias antes de tomar uma decisão.
1. O enxerto de gengiva dói?
Durante o procedimento, você não sentirá dor, pois a área é completamente anestesiada. No pós-operatório, é comum sentir um desconforto, principalmente na área doadora (céu da boca), mas ele é totalmente controlável com os analgésicos prescritos. A laserterapia que utilizamos na Flori Odontologia também ajuda a minimizar significativamente qualquer incômodo.
2. Quanto tempo dura a cirurgia?
O procedimento costuma durar entre 30 minutos e 1 hora, dependendo da extensão da área a ser tratada e da técnica utilizada.
3. O resultado do enxerto de gengiva é permanente?
O resultado pode ser muito duradouro, até mesmo permanente, se as causas da retração forem controladas e o paciente mantiver uma boa higiene bucal e seguir as orientações. Em alguns casos, especialmente em pacientes com biotipo gengival muito fino, pode haver alguma recidiva ao longo de muitos anos.
4. Existe rejeição ao enxerto?
Quando o tecido é retirado do próprio paciente (enxerto autógeno), não há risco de rejeição. O que pode ocorrer, embora seja raro, são complicações como a não integração do tecido por falha na vascularização, geralmente associada a cuidados pós-operatórios inadequados, como o tabagismo.
5. Quando posso voltar a comer normalmente?
Após as duas primeiras semanas, a maioria dos pacientes já consegue retomar uma dieta mais próxima do normal, evitando apenas alimentos muito duros ou crocantes na área operada. A liberação total para a alimentação habitual ocorre por volta de 30 dias após a cirurgia.
6. O enxerto de gengiva resolve a sensibilidade dos dentes?
Sim! Uma das principais vantagens do enxerto é cobrir a raiz exposta, que é a principal causa da sensibilidade. A maioria dos pacientes relata um alívio completo ou significativo da sensibilidade após a cicatrização.
Conclusão
O enxerto de gengiva é uma técnica eficaz e segura para tratar a retração gengival, devolver a saúde bucal e melhorar a estética do sorriso. Se você se identifica com os problemas descritos, o próximo passo é buscar a orientação de um especialista.
Agende uma avaliação com um periodontista para saber se o enxerto de gengiva é a solução ideal para você e recupere a confiança no seu sorriso!
Referências
Periodontistas experientes para atender os casos mais complexos
Expertise sólida, construída sobre uma base acadêmica de alto nível.
Opiniões dos nossos pacientes
EXCELENTE Com base em 31 avaliações Publicado em Regiana MartinaTrustindex verifica se a fonte original da avaliação é Google. A dra Juliana e o dr André são excelentes profissionais e também muito humanos no trato com os clientes. A minha mãe, com 94 anos, está sendo tratada pela dra Juliana, que conseguiu melhorar em muito a saúde bucal dela, o que outros dentistas , no passado, não conseguiram. Já o dr André me proporcionou uma melhora significativa, ao longo do meu tratamento, tanto na parte estrutural quanto na parte estética dos meus dentes. A clínica também possui uma estrutura excelente e o custo é facilitado. Só posso agradecer muito à dra Juliana e ao dr André por tudo que fizeram por mim e pela minha mãe!Publicado em Lucas SousaTrustindex verifica se a fonte original da avaliação é Google. Clínica super preparada e profissionais simpáticos!Publicado em Aline Cristina Dias Da PublicaçãoTrustindex verifica se a fonte original da avaliação é Google. Equipe muito atenciosa, respeitosas! Entendeu totalmente minhas críticas. Super atendimento!Publicado em Carlos EduardoTrustindex verifica se a fonte original da avaliação é Google. Melhor clínica odontológica que já fui em Perdizes! Fiz a primeira consulta com a Estomatologista que foi ótima, foi bem objetiva e fez o encaminhamento para o tratamento de canal. O que gostei é que o tratamento é muito profissional, diferente das clínicas familiares que o Pai recomenda o tratamento com o Filho. O endodontista também foi muito profissional e resolveu tudo super rápido e sem dor nenhuma. A clínica possui uma decoração de ótimo gosto além de uma higiene impecável! Os preços estão bem em linha com os outros dentistas na região, mas no quesito qualidade eles estão muito bem.Publicado em Isabela SanchesTrustindex verifica se a fonte original da avaliação é Google. Dr. Juliana foi excelente com uma ferida que minha mãe possuía na boca! Identificou o problema rapidamente, nos tranquilizou e fez um tratamento que melhorou tudo imediatamente. Ela passou muita segurança e foi extremamente gentil. Dá para ver que é interessada e apaixonada pela profissão. Recomendo muito!Publicado em Taís MoraesTrustindex verifica se a fonte original da avaliação é Google. Ótimo atendimento!!Publicado em Fabio Victor Sales C.Trustindex verifica se a fonte original da avaliação é Google. Dra Juliana está de parabéns. Muito querida. Melhor consulta com dentista que já vi e, por consequência, melhor limpeza também. A clínica é linda e a profissional muito empática e habilidosa. Amei e voltarei.Certificado: TrustindexO selo verificado do Trustindex é o Símbolo Universal de Confiança. Apenas as melhores empresas podem obter o selo verificado que tem uma pontuação de avaliação acima de 4.5, com base nas avaliações dos clientes nos últimos 12 meses. Leia mais
Flori Odontologia
- EndereçoRua Cayowaá, 759 - Perdizes São Paulo 05018-001 Brasil
- Emailatendimento@floriodontologia.com.br
- Telefone+55 11 98773-2576






