
A retração gengival, também conhecida como recessão gengival, é uma condição bucal bastante comum, mas que gera muitas dúvidas e preocupações. Ela ocorre quando o tecido da gengiva se retrai, afastando-se da sua posição original e expondo a raiz do dente. Este processo pode não apenas comprometer a estética do sorriso, deixando os dentes com uma aparência mais alongada, mas também trazer consequências funcionais significativas, como o aumento da sensibilidade, um maior risco de desenvolvimento de cáries e, em casos mais avançados, a perda do dente.
Compreender as causas, saber identificar os sintomas e conhecer os tratamentos modernos disponíveis é o primeiro passo para reverter o quadro e garantir a saúde do seu sorriso. Neste guia completo, preparado pela equipe de especialistas da Flori Odontologia, vamos abordar tudo o que você precisa saber sobre a retração gengival. Nosso objetivo é fornecer informações claras e precisas para que você possa tomar as melhores decisões sobre sua saúde bucal, sempre com o acompanhamento de um profissional qualificado, como os periodontistas da nossa clínica em Perdizes, São Paulo.
O Que É Retração Gengival? Entendendo o Problema
Para entender a retração, é útil conhecer a anatomia que protege nossos dentes. A gengiva é dividida em duas partes principais: a gengiva inserida, um tecido mais firme e resistente que fica firmemente aderido ao osso ao redor dos dentes, e a mucosa alveolar, um tecido mais fino e móvel que reveste o interior dos lábios e bochechas. A retração ocorre quando a margem da gengiva inserida migra em direção à ponta da raiz do dente, deixando-a desprotegida. [2]
Podemos fazer uma analogia com a gola de uma camisa: em uma situação ideal, a gola (gengiva) está bem ajustada ao pescoço (dente), protegendo-o. Quando a gola encolhe ou se desgasta, ela expõe mais o pescoço, deixando-o vulnerável. Da mesma forma, a retração gengival deixa a raiz do dente exposta a bactérias, variações de temperatura e atritos, o que pode levar a diversos problemas.
|
Característica
|
Gengiva Saudável
|
Gengiva com Retração
|
|
Posição
|
Cobre totalmente a raiz do dente
|
A raiz do dente fica visível e exposta
|
|
Aparência
|
Coloração rosa-pálido, textura firme
|
Dentes parecem mais longos, pode haver um “degrau”
|
|
Sensibilidade
|
Ausente
|
Sensibilidade a alimentos quentes, frios ou doces
|
|
Risco de Cárie
|
Baixo
|
Alto, pois a raiz não possui o esmalte protetor
|
|
Saúde Geral
|
Sem sangramento ou inflamação
|
Pode estar associada a sangramento e inflamação
|
Principais Causas da Retração Gengival: Por Que Acontece?
A retração gengival é multifatorial, o que significa que diversas causas podem estar envolvidas, agindo de forma isolada ou em conjunto. Identificar o fator causal é crucial para o sucesso do tratamento.
Escovação Incorreta e Agressiva
Esta é, sem dúvida, uma das causas mais comuns. O uso de escovas de dente com cerdas duras ou a aplicação de força excessiva durante a escovação pode traumatizar e desgastar o tecido gengival ao longo do tempo, forçando-o a se retrair. O ideal é sempre utilizar escovas de cerdas macias ou extra macias e realizar movimentos suaves e circulares.
Doença Periodontal (Gengivite e Periodontite)
A doença periodontal é uma infecção bacteriana que afeta os tecidos de suporte dos dentes. Ela começa como uma gengivite (inflamação da gengiva) e, se não tratada, pode evoluir para uma periodontite. Nesta fase mais grave, as bactérias destroem não apenas o tecido gengival, mas também o osso que sustenta os dentes, levando à retração e, eventualmente, à perda dentária. [3]
Fatores Genéticos
Algumas pessoas simplesmente herdam características que as tornam mais suscetíveis à retração gengival. Uma gengiva naturalmente mais fina e delicada (fenótipo fino) ou uma faixa de gengiva inserida mais estreita oferece menos proteção contra traumas e inflamações, facilitando a ocorrência da recessão.
Bruxismo e Trauma Oclusal
O hábito de ranger ou apertar os dentes, conhecido como bruxismo, gera forças excessivas sobre os dentes e os tecidos de suporte. Essa sobrecarga pode acelerar o processo de retração gengival, especialmente em dentes que já possuem alguma predisposição. O mesmo pode ocorrer devido a uma mordida desalinhada (trauma oclusal).
Tabagismo
O fumo é um dos maiores inimigos da saúde bucal. As toxinas presentes no cigarro diminuem o fluxo sanguíneo para as gengivas, comprometem a resposta imunológica do organismo e dificultam a cicatrização. Fumantes têm um risco significativamente maior de desenvolver doença periodontal e, consequentemente, retração gengival. [4]
Posicionamento Dentário e Tratamentos Ortodônticos
Dentes apinhados, girados ou mal posicionados podem dificultar a higiene e criar áreas de acúmulo de placa bacteriana. Além disso, em alguns casos, a própria movimentação dos dentes durante um tratamento ortodôntico pode, se não for bem planejada e executada, levar à retração em áreas onde o osso de suporte é mais fino.
Sintomas e Diagnóstico: Como Saber se Tenho Retração Gengival?
Fique atento aos seguintes sinais e sintomas, que podem indicar a presença de retração gengival:
- Dentes que parecem mais longos: Este é o sinal visual mais clássico.
- Sensibilidade dentinária: Dor aguda ao consumir alimentos ou bebidas quentes, frias, doces ou ácidas.
- Entalhe ou degrau na junção entre o dente e a gengiva: Você pode sentir uma pequena depressão ao passar a unha na base do dente.
- Sangramento gengival: Especialmente durante a escovação ou o uso do fio dental.
- Mau hálito persistente: Pode ser um sinal de doença periodontal associada.
O diagnóstico definitivo só pode ser feito por um cirurgião-dentista, preferencialmente um especialista em Periodontia. Na consulta, o profissional irá realizar um exame clínico detalhado, medindo a extensão da retração com uma sonda periodontal e avaliando a saúde geral das suas gengivas. Exames de imagem, como radiografias, também podem ser solicitados para verificar a condição do osso de suporte.
Tratamentos Modernos para Retração Gengival em São Paulo
Felizmente, a odontologia moderna oferece uma gama de tratamentos eficazes para a retração gengival. A escolha da terapia ideal dependerá da causa, da gravidade da recessão e dos objetivos estéticos e funcionais do paciente. Na Flori Odontologia, contamos com uma equipe qualificada e tecnologia de ponta para oferecer o que há de melhor para a sua saúde. Para um diagnóstico preciso, consulte nosso Especialista em Periodontia.
Tratamento Não Cirúrgico: Raspagem e Alisamento Radicular
Para casos mais leves, onde a retração está associada à doença periodontal ativa, o primeiro passo é remover a causa do problema. A raspagem e o alisamento radicular consistem em uma limpeza profunda para remover a placa bacteriana e o tártaro aderidos à superfície da raiz exposta. Este procedimento ajuda a desinflamar a gengiva e pode paralisar a progressão da retração.
Cirurgia de Enxerto Gengival: A Solução Padrão Ouro
Quando a perda de tecido é significativa, a cirurgia de enxerto gengival é o tratamento mais indicado para recobrir a raiz exposta. Este procedimento, considerado o padrão ouro, consiste em remover uma pequena porção de tecido, geralmente do palato (céu da boca), e enxertá-la na área da retração. O enxerto se integra ao tecido existente, devolvendo o volume e a proteção à raiz do dente. A recuperação é geralmente tranquila, e os resultados estéticos e funcionais são excelentes.
Gengivoplastia e Cirurgia a Laser: Tecnologia e Conforto
Na Flori Odontologia, investimos em tecnologia para proporcionar mais conforto e precisão aos nossos pacientes. O Laser de Alta Potência pode ser utilizado em procedimentos de gengivoplastia (plástica gengival) para remodelar o contorno da gengiva ou auxiliar em cirurgias de enxerto. O uso do laser promove uma cicatrização mais rápida, menos sangramento durante o procedimento e um pós-operatório mais confortável. [5]
Regeneração Tecidual Guiada (RTG)
Em casos mais severos, onde houve perda óssea além da retração gengival, a Regeneração Tecidual Guiada pode ser necessária. Nesta técnica, o periodontista utiliza membranas biocompatíveis que funcionam como uma barreira, permitindo que as células que formam osso e ligamento periodontal repovoem a área, regenerando os tecidos de suporte perdidos.
|
Tratamento
|
Indicação Principal
|
Vantagens
|
Custo Estimado (por dente em SP)
|
|
Raspagem e Alisamento
|
Casos leves, com doença periodontal
|
Menos invasivo, remove a causa inicial
|
R$ 200 – R$ 600
|
|
Enxerto Gengival
|
Retrações moderadas a severas
|
Alta previsibilidade, excelentes resultados estéticos
|
R$ 800 – R$ 2.500
|
|
Cirurgia a Laser
|
Auxiliar em enxertos e gengivoplastia
|
Menos dor, cicatrização mais rápida
|
Varia conforme o procedimento principal
|
|
Regeneração Tecidual
|
Perda óssea associada
|
Regenera osso e gengiva
|
A partir de R$ 2.000
|
Os valores são estimativas e podem variar significativamente dependendo da complexidade do caso, dos materiais utilizados e do profissional. Uma avaliação individualizada é indispensável.
Prevenção: Como Evitar a Retração da Gengiva?
A melhor forma de tratamento é sempre a prevenção. Adotar hábitos simples no dia a dia pode fazer toda a diferença para manter suas gengivas saudáveis:
- Escove os dentes corretamente: Use uma escova de cerdas macias e faça movimentos suaves, sem aplicar força.
- Use o fio dental diariamente: O fio dental é essencial para remover a placa bacteriana entre os dentes, onde a escova não alcança.
- Faça visitas regulares ao periodontista: Consultas e limpezas profissionais a cada 6 meses ajudam a prevenir e diagnosticar problemas em estágio inicial.
- Controle o bruxismo: Se você range os dentes, converse com seu dentista sobre o uso de placas de mordida para dormir.
- Abandone o cigarro: Parar de fumar traz benefícios imensos para a saúde bucal e geral.
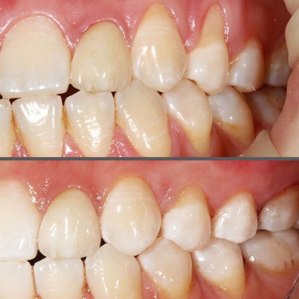
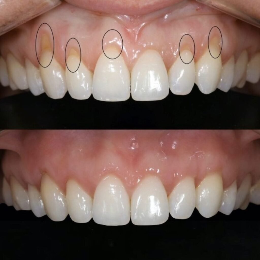
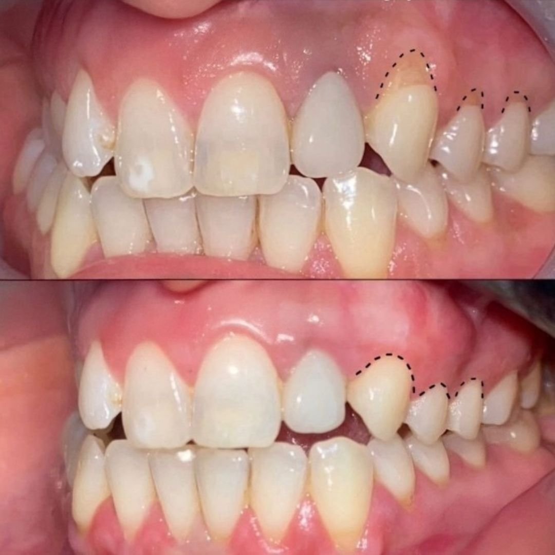
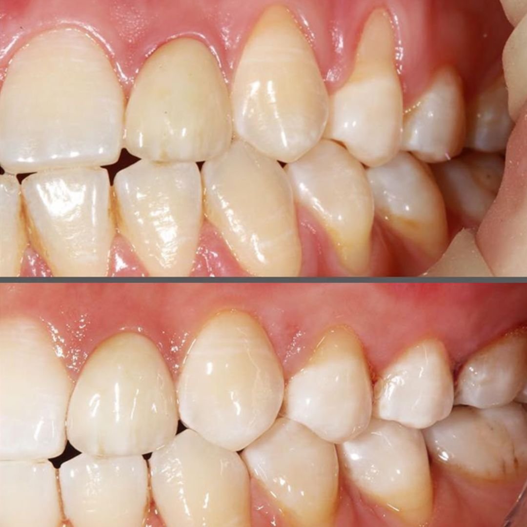
Antes e depois do tratamento de retração gengival
Abaixo apresentamos alguns casos de sucesso no tratamento da retração gengival.



FAQ – Perguntas Frequentes sobre Retração Gengival
A retração gengival tem cura?
Sim. Embora o tecido gengival não se regenere sozinho, os tratamentos cirúrgicos, como o enxerto gengival, são capazes de recobrir a raiz exposta, curando efetivamente a retração e restaurando a saúde e a estética da gengiva.
O tratamento para retração gengival dói?
Os procedimentos modernos são realizados sob anestesia local, garantindo que o paciente não sinta dor durante o tratamento. O pós-operatório pode envolver um leve desconforto, que é facilmente controlado com analgésicos prescritos pelo dentista. O uso do laser, quando indicado, torna a recuperação ainda mais tranquila.
Quanto custa um tratamento para retração gengival?
O custo varia amplamente dependendo do tipo de tratamento, do número de dentes envolvidos e da complexidade do caso. Uma raspagem pode custar a partir de R$ 200 por dente, enquanto uma cirurgia de enxerto pode variar de R$ 800 a mais de R$ 2.500 por dente. É fundamental uma avaliação para obter um orçamento preciso.
É possível reverter a retração gengival naturalmente?
Não. Uma vez que a gengiva se retraiu, ela não volta à sua posição original sem intervenção profissional. Tratamentos caseiros não são eficazes e podem até piorar o quadro.
O que acontece se eu não tratar a retração gengival?
A falta de tratamento pode levar à progressão da retração, aumento da sensibilidade, maior risco de cáries na raiz, comprometimento estético, perda óssea e, em último caso, a perda do dente.
Qual especialista trata a retração gengival?
O especialista mais indicado para diagnosticar e tratar a retração gengival é o Periodontista, o dentista que se dedica ao estudo e tratamento das doenças da gengiva e dos tecidos de suporte dos dentes.
Encontre seu Especialista em Periodontia em Perdizes, São Paulo
Nossa clínica está localizada em Perdizes e equipada com a mais alta tecnologia para oferecer um diagnóstico preciso e um tratamento seguro e confortável. Cuidar da sua gengiva é cuidar da base do seu sorriso. Agende hoje mesmo sua avaliação e dê o primeiro passo para um sorriso mais saudável e bonito!






