
Na busca pela reabilitação oral completa, muitos pacientes encontram os termos All-on-4 e All-on-6. Se você já pesquisou por all on 6 preço, all on 6 valor ou all on 6 quanto custa, provavelmente notou que este tratamento representa um passo adiante em termos de estabilidade e, consequentemente, de investimento. Mas o que justifica a diferença de preço e quando o All-on-6 é a escolha ideal?
Este guia completo, elaborado pela equipe de especialistas da Flori Odontologia, foi criado para desmistificar o tratamento All-on-6 e oferecer uma análise transparente sobre os custos envolvidos em São Paulo para 2025. Vamos explorar as vantagens biomecânicas dos seis implantes, as situações clínicas em que eles são indispensáveis e como fatores como a marca do implante (Straumann vs. Neodent) e o material da prótese (zircônia vs. porcelana) definem o valor final do seu novo sorriso.
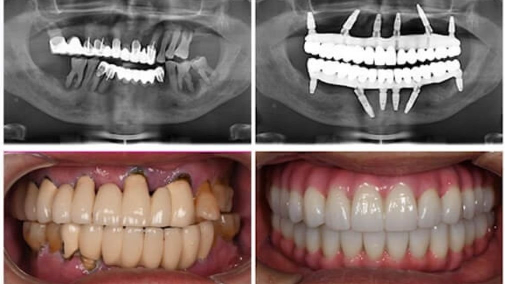
O que é o Implante All-on-6? Os 6 Pilares da Máxima Segurança
O conceito All-on-6 é uma evolução da técnica All-on-4, projetado para oferecer um nível superior de estabilidade e distribuição de força. Assim como o All-on-4, ele se destina a pacientes que perderam todos os dentes de uma arcada. A diferença fundamental, como o nome sugere, está no número de implantes: em vez de quatro, seis implantes de titânio são cirurgicamente inseridos no osso maxilar ou mandibular para suportar a prótese fixa completa.
Esses dois implantes adicionais não são meros coadjuvantes; eles desempenham um papel biomecânico crucial. Ao aumentar o número de pilares de sustentação, a carga mastigatória é distribuída de forma mais equilibrada por toda a arcada, reduzindo o estresse sobre cada implante individual. Isso não só aumenta a longevidade do tratamento, mas também proporciona uma fundação mais robusta, especialmente em cenários clínicos mais desafiadores.
“Pense no All-on-6 como a fundação de um prédio de alto desempenho. Enquanto quatro pilares são excelentes para a maioria das estruturas, seis pilares oferecem uma base mais sólida e resiliente, garantindo máxima segurança e estabilidade, especialmente em terrenos (ossos) menos favoráveis.”
All-on-4 vs. All-on-6: Qual a Diferença e Quando Indicar?
A decisão entre All-on-4 e All-on-6 não é uma escolha do paciente, mas sim uma indicação clínica precisa feita pelo especialista após uma análise detalhada da tomografia computadorizada e das condições de saúde do paciente. A tabela abaixo resume as principais diferenças e indicações.
|
Característica
|
All-on-4
|
All-on-6
|
|
Número de Implantes
|
4 implantes (2 retos, 2 angulados)
|
6 implantes (geralmente 4 retos, 2 angulados)
|
|
Estabilidade
|
Alta
|
Superior
|
|
Distribuição de Força
|
Boa
|
Otimizada e mais equilibrada
|
|
Necessidade Óssea
|
Menor (ideal para atrofia moderada)
|
Requer maior volume/qualidade óssea
|
|
Indicação Principal
|
Maioria dos casos de perda total
|
Maxila (osso menos denso), bruxismo, osso de baixa qualidade
|
|
Segurança/Redundância
|
Boa
|
Superior (falha de 1 implante não compromete o sistema)
|
|
Custo
|
Padrão
|
15-25% maior
|
- Qualidade Óssea Comprometida: O osso da arcada superior (maxila) é naturalmente mais poroso e menos denso que o da mandíbula. Nesses casos, os seis implantes do All-on-6 garantem uma ancoragem mais segura e distribuem melhor as forças, compensando a menor qualidade óssea.
- Pacientes com Bruxismo: O hábito de ranger ou apertar os dentes (bruxismo) gera forças mastigatórias excessivas. O All-on-6 oferece uma estrutura mais robusta para suportar essa carga extra, protegendo tanto os implantes quanto a prótese.
- Busca por Máxima Segurança: Para pacientes que desejam a máxima segurança e longevidade possíveis, o All-on-6 oferece uma “redundância” valiosa. Na rara eventualidade de um implante falhar, os cinco restantes podem continuar a suportar a prótese, muitas vezes sem a necessidade de uma nova cirurgia.
- Formato da Arcada: Arcadas dentárias muito amplas ou em formato quadrado podem se beneficiar dos pontos de apoio adicionais fornecidos pelo All-on-6.

All-on-6 Preço em São Paulo: A Faixa de Valor para 2025
O investimento em um tratamento All-on-6 é, em média, 15% a 25% superior ao preço do All-on-4, devido ao custo dos dois implantes adicionais e dos componentes protéticos extras. Com base em nossa pesquisa de mercado em São Paulo, a faixa de preço realista para 2025 é a seguinte:
|
Tipo de Prótese Definitiva
|
Faixa de Preço Estimada (por Arcada)
|
Perfil do Material e Indicação
|
|
Prótese em Resina Acrílica
|
R$ 25.000 – R$ 38.000
|
Opção de Entrada: Funcional, mas com menor durabilidade e mais suscetível a desgastes.
|
|
Prótese em Porcelana (Metalocerâmica)
|
R$ 36.000 – R$ 52.000
|
Excelente Custo-Benefício: Altamente estética e resistente, com estrutura interna de metal.
|
|
Prótese em Zircônia Pura
|
R$ 50.000 – R$ 68.000+
|
Opção Premium: Máxima estética, resistência e biocompatibilidade. A escolha definitiva.
|
Importante: Assim como no All-on-4, esses valores são um guia. Desconfie de preços muito abaixo dessa média, pois podem indicar o uso de materiais de qualidade inferior ou a omissão de etapas cruciais do tratamento.
Decodificando o Orçamento: Fatores que Influenciam o Valor do All-on-6
Os fatores que compõem o preço do All-on-6 são os mesmos do All-on-4, mas com o acréscimo dos componentes extras. A qualidade em cada um desses pontos justifica o investimento em um tratamento seguro e duradouro.
- A Marca do Implante (Straumann® vs. Neodent®): A fundação do tratamento. Trabalhar com marcas líderes como Straumann (Suíça, premium) e Neodent (Brasil/Grupo Straumann, excelente custo-benefício) garante décadas de pesquisa científica, altas taxas de sucesso e segurança a longo prazo.
- O Material da Prótese (Zircônia, Porcelana, Resina): A alma do seu sorriso. A zircônia representa o ápice da estética e resistência, enquanto a porcelana oferece um ótimo equilíbrio e a resina uma opção mais acessível.
- A Tecnologia da Clínica: O uso de scanner intraoral 3D, planejamento digital, sedação consciente e laser terapêutico não são luxos, mas ferramentas que garantem precisão, conforto e uma recuperação mais rápida.
- A Qualificação da Equipe: A execução de um All-on-6 exige um nível ainda maior de precisão no planejamento e na cirurgia. A experiência de um especialista como a Dra. Kétlin Andrade, com 13 anos de foco em reabilitação oral complexa, é o fator mais determinante para o sucesso.
Perguntas Frequentes (FAQ) sobre o Preço do All-on-6
1. Por que o All-on-6 é mais caro que o All-on-4?
O custo adicional de 15-25% se deve diretamente aos dois implantes extras, dois pilares protéticos adicionais e ao trabalho laboratorial e cirúrgico ligeiramente mais complexo. Esse valor extra se traduz em maior estabilidade, distribuição de força otimizada e mais segurança a longo prazo.
2. Se eu tenho osso suficiente, devo sempre escolher o All-on-6?
Não necessariamente. Se a sua qualidade óssea for excelente e você não tiver fatores de risco como bruxismo, o All-on-4 pode ser uma solução perfeitamente segura e duradoura. A decisão deve ser tomada em conjunto com o especialista, com base na sua tomografia e necessidades individuais.
3. O All-on-6 também permite carga imediata (dentes no mesmo dia)?
Sim. A filosofia do tratamento é a mesma. Após a cirurgia de instalação dos seis implantes, o paciente recebe uma prótese provisória fixa, restaurando a função e a estética imediatamente.
4. O convênio odontológico cobre o tratamento All-on-6?
Assim como o All-on-4, é muito raro que convênios cubram o tratamento All-on-6. Eles podem, no entanto, cobrir procedimentos associados, como extrações ou exames. Nossa equipe na Flori Odontologia pode auxiliar na verificação da sua cobertura.
5. A prótese do All-on-6 é diferente da do All-on-4?
Externamente, a prótese é idêntica. A diferença é interna: a prótese do All-on-6 terá seis encaixes para se conectar aos implantes, enquanto a do All-on-4 terá quatro. Isso resulta em uma fixação mais robusta.
6. O tempo de tratamento do All-on-6 é maior?
Não. O tempo de cirurgia pode ser ligeiramente maior (cerca de 30-60 minutos a mais), mas o tempo total de tratamento, incluindo o período de osseointegração (3-6 meses), é o mesmo do All-on-4.
Conclusão: All-on-6, um Investimento na Máxima Tranquilidade
Entender o “all on 6 preço” é compreender o valor da estabilidade e da segurança levadas ao próximo nível. Enquanto o All-on-4 é uma solução fantástica para a grande maioria dos casos, o All-on-6 se apresenta como a opção superior para cenários específicos, oferecendo uma base mais forte e uma maior paz de espírito a longo prazo. A escolha entre os dois não é sobre qual é “melhor”, mas sim sobre qual é o mais indicado para você.
Na Flori Odontologia, nosso compromisso é com a indicação correta e transparente. Através de um diagnóstico preciso com tomografia computadorizada 3D e um planejamento digital minucioso, nosso implantodontista irá recomendar a solução que oferece a maior previsibilidade de sucesso para o seu caso específico, seja ele All-on-4 ou All-on-6.
Agende sua avaliação e descubra a solução ideal para o seu novo sorriso. Invista na máxima segurança e estabilidade que a odontologia moderna pode oferecer.
Especialista com sólida experiência em Implantes Dentários
Expertise sólida, construída sobre uma base acadêmica de alto nível.
Opiniões dos nossos pacientes
EXCELENTE Com base em 34 avaliações Publicado em Daniel NascimentoTrustindex verifica se a fonte original da avaliação é Google. Excelente ambiente, dr Valeria estomatologista muito boa profissional abordou minha situação de forma leve e muito segura dos procedimentos a serem realizados explicando cada passo do processo com muita clareza, o que me deu a certeza de que tudo daria certo.Publicado em Elaine CasemiroTrustindex verifica se a fonte original da avaliação é Google. Ótimo local! Ambiente aconchegante e acolhedor, com profissionais altamente qualificados e humanizados. Além disso, a limpeza é impecável — transmitindo cuidado e excelência em cada detalhe.Publicado em Gabriel TeixeiraTrustindex verifica se a fonte original da avaliação é Google. Ótimos profissionais, atendimento top e um espaço bonito e agradável. Simplesmente sensacional. Super recomendo!Publicado em Regiana MartinaTrustindex verifica se a fonte original da avaliação é Google. A dra Juliana e o dr André são excelentes profissionais e também muito humanos no trato com os clientes. A minha mãe, com 94 anos, está sendo tratada pela dra Juliana, que conseguiu melhorar em muito a saúde bucal dela, o que outros dentistas , no passado, não conseguiram. Já o dr André me proporcionou uma melhora significativa, ao longo do meu tratamento, tanto na parte estrutural quanto na parte estética dos meus dentes. A clínica também possui uma estrutura excelente e o custo é facilitado. Só posso agradecer muito à dra Juliana e ao dr André por tudo que fizeram por mim e pela minha mãe!Publicado em Lucas SousaTrustindex verifica se a fonte original da avaliação é Google. Clínica super preparada e profissionais simpáticos!Publicado em Aline Cristina Dias Da PublicaçãoTrustindex verifica se a fonte original da avaliação é Google. Equipe muito atenciosa, respeitosas! Entendeu totalmente minhas críticas. Super atendimento!Publicado em Carlos EduardoTrustindex verifica se a fonte original da avaliação é Google. Melhor clínica odontológica que já fui em Perdizes! Fiz a primeira consulta com a Estomatologista que foi ótima, foi bem objetiva e fez o encaminhamento para o tratamento de canal. O que gostei é que o tratamento é muito profissional, diferente das clínicas familiares que o Pai recomenda o tratamento com o Filho. O endodontista também foi muito profissional e resolveu tudo super rápido e sem dor nenhuma. A clínica possui uma decoração de ótimo gosto além de uma higiene impecável! Os preços estão bem em linha com os outros dentistas na região, mas no quesito qualidade eles estão muito bem.Certificado: TrustindexO selo verificado do Trustindex é o Símbolo Universal de Confiança. Apenas as melhores empresas podem obter o selo verificado que tem uma pontuação de avaliação acima de 4.5, com base nas avaliações dos clientes nos últimos 12 meses. Leia mais
Flori Odontologia
- EndereçoRua Cayowaá, 759 - Perdizes São Paulo 05018-001 Brasil
- Emailatendimento@floriodontologia.com.br
- Telefone+55 11 98773-2576


